Calcaneal apophysitis

Calcaneal apophysitis
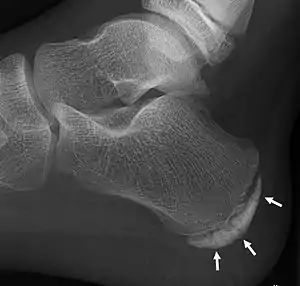
X-ray of the foot of an 11-year-old child,showing sclerosis and fragmentation of the calcaneal apophysis. This is a sign of low sensitivity and specificity of Sever's disease, because those with Sever's disease may not have it, and this appearance is also present in feet without pain.
SymptomsPain in the heel
Diagnostic methodclinical, imaging (xray)

Calcaneal apophysitis, also known as Sever's disease, is an inflammation at the back of the heel in growing children.[1] Often there is pain in the heel particularly during a growth spurt.[2]

The condition is thought to be caused by repetitive stress at the heel.[1][3] There is at inflammation at the insertion of the achilles tendon.[4]

Treatment is usually with rest, painkillers, and strengthening and stretching exercises.[2] Raising the heel may help the pain.[4]

It is the commonest cause of heel pain in children.[1]

Symptoms

Children with calcaneal apophysitis commonly complain of pain at the back of the heel. This pain increases with jumping and some running sports. Sometimes, the pain makes children limp and may result in poor sports performance or them not wanting to participate in some sports. The back of the heel is never swollen or red, unless there has been shoe rubbing. When the back of the heel is squeezed from the inside and outside, children with calcaneal apophysitis will report pain. Foot radiographs are not needed to diagnose calcaneal apophysitis as the growth plate can look similar with or without pain. Health professionals should only refer for imaging when the symptoms don't match with the usual presentation or there has been an injury that has resulted in heel pain. Therefore, the diagnosis of Sever's disease is primarily from history and physical assessment.[5]

Cause

There are no known causes of calcaneal apophysitis or any ways that it can be prevented. Instead there are things that may contribute to calcaneal apophysitis developing. Children who complain of this type of heel pain commonly are taller (may have just had a growth spurt) or heavier. They also often play sports that have higher jumping, running or direction changes like basketball or soccer. It can also occur more in children who play on hard surfaces. Sometimes children who also start a new sport also complain on this pain or it may happen at the start of a new season. Because calcaneal apophysitis also occurs around puberty, it is thought that it is related to rapid growth and perhaps muscle tightness,[6][7] but this is not the case for all children.[8] There have been reports that is may also be associated with foot posture (high arches or flat feet). But in large studies, children with calcaneal apophysitis had similar foot postures to children without pain. This means, while some children have high arches or flat feet, not all will get calcaneal apophysitis.

Treatment

Parents can often use home treatments to resolve pain. Health professionals who also commonly treat this condition are podiatrists, physiotherapists, family medical doctors, paediatricians or orthopaedic surgeons. Treatment may consist of one or more of the following:

  • Using ice on the area or an over the counter anti-inflammatory from the pharmacy (not aspirin).
  • Load management including some sport substitution or lessening the amount, not playing for as long or having more frequent breaks.
  • Heel raisers or heel cushions [9][10]
  • Foot orthotics [9]
  • If pain is present in some footwear more than others, consider changing footwear to increase support or cushioning
  • Avoid being barefoot for long period of times while painful
  • If doing a sport in barefoot, a heel cushion or taping may assist during the activity

Prognosis

Sever's disease is not a serious condition and many children get better without needing health professional care. If use of home treatments like putting ice on the heels or changing sport don't work, children should be assessed by a health professionals to personalise the treatment and make sure it is really is calcaneal apophysitis. This condition does not have any long term foot or ankle problems.

While pain from calcaneal apophysitis can go away quickly, it often comes back from time to time. It can appear until children are 12-15 years old.

Eponym

The correct term for this condition is calcaneal apophysitis. The term Sever's Disease was coined after it was first described by James Warren Sever (1878–1964), an American orthopedic doctor, in 1912.[11] Sever had "The Principles of Orthopaedic Surgery" published in 1940 through the Macmillan Company. Dr Sever described it as an apophyseal injury and given it is neither contagious or progressive, the disease label is being used less with time.

See also

References

  1. 1 2 3 Bartlett, Roger; Gratton, Chris; Rolf, Christer (2006). Encyclopedia of International Sports Studies: A-E. London: Taylor & Francis. p. 207. ISBN 978-0-415-97875-0. Archived from the original on 2021-12-15. Retrieved 2021-12-14.
  2. 1 2 "Sever's Disease (Heel Pain) - OrthoInfo - AAOS". www.orthoinfo.org. Archived from the original on 14 December 2021. Retrieved 14 December 2021.
  3. Mark A Noffsinger (7 September 2016). "Calcaneal Apophysitis (Sever Disease) Workup". Medscape. Archived from the original on 14 December 2021. Retrieved 14 December 2021.
  4. 1 2 Rahman, Anisur; Giles, Ian (2020). "18. Rheumatology". In Feather, Adam; Randall, David; Waterhouse, Mona (eds.). Kumar and Clark's Clinical Medicine (10th ed.). Elsevier. p. 427. ISBN 978-0-7020-7870-5. Archived from the original on 2021-12-15. Retrieved 2021-12-14.
  5. Kose, Ozkan (2010). "Do we really need radiographic assessment for the diagnosis of non-specific heel pain (calcaneal apophysitis) in children?". Skeletal Radiology. 39 (4): 359–361. doi:10.1007/s00256-009-0774-y. PMID 19672591. S2CID 19889365.
  6. "Sever's Disease". Kidshealth.org. Archived from the original on 2016-01-31. Retrieved 2014-04-29.
  7. Hendrix CL (2005). "Calcaneal apophysitis (Sever disease)". Clinics in Podiatric Medicine and Surgery. 22 (1): 55–62, vi. doi:10.1016/j.cpm.2004.08.011. PMID 15555843.
  8. James AM, Williams CM, Luscombe M, Hunter R, Haines, T (2015). "Factors Associated with Pain Severity in Children with Calcaneal Apophysitis (Sever Disease)". The Journal of Pediatrics. 167 (2): 455–459. doi:10.1016/j.jpeds.2015.04.053. PMID 26001316.{{cite journal}}: CS1 maint: multiple names: authors list (link)
  9. 1 2 James A, Williams C, Haines T (2016). "Effectiveness of footwear and foot orthoses for calcaneal apophysitis: a 12-month factorial randomised trial". Br J Sports Med. 50 (20): 1268–1275. doi:10.1136/bjsports-2015-094986. PMID 15555843. S2CID 26677317.{{cite journal}}: CS1 maint: multiple names: authors list (link)
  10. James A, Williams CM, Haines T (2013). "Effectiveness of interventions in reducing pain and maintaining physical activity in children and adolescents with calcaneal apophysitis (Sever's disease): a systematic review". J Foot Ankle Res. 6 (1): 34–8. doi:10.1186/1757-1146-6-16. PMC 3663667. PMID 23641779.
  11. "Sever disease - definition of Sever disease in the medical dictionary - by the Free Online Medical Dictionary, Thesaurus and Encyclopedia". Medical-dictionary.thefreedictionary.com. Archived from the original on 2020-03-20. Retrieved 2014-04-29.
Classification


This article is issued from Wmcloud. The text is licensed under Creative Commons - Attribution - Sharealike. Additional terms may apply for the media files.