Dislocated shoulder

Dislocated shoulder
Anterior dislocation of the left shoulder.
SpecialtyEmergency medicine, orthopedics
ComplicationsBankart lesion, Hill-Sachs lesion, rotator cuff tear, axillary nerve injury[1]
TypesAnterior, posterior, inferior, superior[2][1]
CausesFall onto an outstretched arm or the shoulder.[3]
Diagnostic methodBased on symptoms, X-rays[2]
TreatmentShoulder reduction, arm sling[1][2]
MedicationProcedural sedation and analgesia, intraarticular lidocaine[4]
PrognosisRecurrence common in young people[3]
Frequency24 per 100,000 per year (US)[1]

A dislocated shoulder is when the head of the humerus is out of the shoulder joint.[2] Symptoms include shoulder pain and instability.[2] Complications may include a Bankart lesion, Hill-Sachs lesion, rotator cuff tear, or injury to the axillary nerve.[1]

A shoulder dislocation often occurs as a result of a fall onto an outstretched arm or onto the shoulder.[3] Diagnosis is typically based on symptoms and confirmed by X-rays.[2] They are classified as anterior, posterior, inferior, and superior with most being anterior.[2][1]

Treatment is by shoulder reduction which may be accomplished by a number of techniques.[1] These include traction-countertraction, external rotation, scapular manipulation, and the Stimson technique.[1] After reduction X-rays are recommended for verification.[1] The arm may then be placed in a sling for a few weeks.[2] Surgery may be recommended in those with recurrent dislocations.[2]

About 1.7% of people have a shoulder dislocation within their lifetime.[3] In the United States this is about 24 per 100,000 people per year.[1] They make up about half of major joint dislocations seen in emergency departments.[1] Males are affected more often than females.[1]

Signs and symptoms

  • Significant pain, sometimes felt along the arm past the shoulder.
  • Sensation that the shoulder is slipping out of the joint during abduction and external rotation.[5]
  • Shoulder and arm held in external rotation (anterior dislocation), or adduction and internal rotation (posterior dislocation).[5] Resistance of all movement.
  • Numbness of the arm.
  • Visibly displaced shoulder. Some dislocations result in the shoulder appearing unusually square.
  • No palpable bone on the side of the shoulder.

Diagnosis

A diagnosis of shoulder dislocation is often suspected based on the person's history and physical examination. Radiographs are made to confirm the diagnosis. Most dislocations are apparent on radiographs showing incongruence of the glenohumeral joint. Posterior dislocations may be hard to detect on standard AP radiographs, but are more readily detected on other views. After reduction, radiographs are usually repeated to confirm successful reduction and to detect bone damage. After repeated shoulder dislocations, an MRI scan may be used to assess soft tissue damage. In regards to recurrent dislocations, the apprehension test (anterior instability) and sulcus sign (inferior instability) are useful methods for determining predisposition to future dislocation.

There are three main types of dislocations: anterior, posterior, and inferior.

Anterior (forward)

X-ray at left shows anterior dislocation in a young man. X-ray at right shows the same shoulder after reduction and internal rotation, revealing a Bankart lesion and a Hill-Sachs lesion.

In over 95% of shoulder dislocations, the humerus is displaced anteriorly.[6] In most of those, the head of the humerus comes to rest under the coracoid process, referred to as sub-coracoid dislocation. Sub-glenoid, subclavicular, and, very rarely, intrathoracic or retroperitoneal dislocations may also occur.[7]

Anterior dislocations are usually caused by a direct blow to, or fall on, an outstretched arm. The person typically holds his/her arm externally rotated and slightly abducted.

A Hill–Sachs lesion is an impaction of the head of the humerus left by the glenoid rim during dislocation.[5] Hill-Sachs deformities occur in 35–40% of anterior dislocations. They can be seen on a front-facing X-ray when the arm is in internal rotation.[8] Bankart lesions are disruptions of the glenoid labrum with or without an avulsion of bone fragment.

Damage to the axillary artery[9] and axillary nerve (C5, C6) may result. The axillary nerve is injured in 37% making it the most commonly injured structure with this type of injury.[10] Other common, associated, nerve injuries include injury to the suprascapular nerve (29%) and the radial nerve (22%).[10] Axillary nerve damage results in a weakened or paralyzed deltoid muscle and as the deltoid atrophies unilaterally, the normal rounded contour of the shoulder is lost. A person with injury to the axillary nerve will have difficulty in abducting the arm from approximately 15° away from the body. The supraspinatus muscle initiates abduction from a fully adducted position.

Posterior (backward)

Posterior dislocations are uncommon, and are typically due to the muscle contraction from electric shock or seizure.[5] They may be caused by strength imbalance of the rotator cuff muscles. People with dislocated shoulders typically present holding their arm internally rotated and adducted, and exhibiting flattening of the anterior shoulder with a prominent coracoid process.

Posterior dislocations may go unrecognized, especially in an elderly person[11] and in people who are in the state of unconscious trauma.[12] An average interval of 1 year was noted between injury and diagnosis in a series of 40 people.[13]

Inferior (downward)

An inferior dislocation of the shoulder after an automobile accident. Note how the humerus is abducted. Also present is a fracture of the greater tuberosity.

Inferior dislocation is the least likely, occurring in less than 1%. This condition is also called luxatio erecta because the arm appears to be permanently held upward or behind the head.[14] It is caused by a hyper abduction of the arm that forces the humeral head against the acromion.[15] Such injuries have a high complication rate as many vascular, neurological, tendon, and ligament injuries are likely to occur from this mechanism of injury.

Treatment

Prompt medical treatment should be sought for suspected dislocation. Usually, the shoulder is kept in its current position by use of a splint or sling. A pillow between the arm and torso may provide support and increase comfort. Strong analgesics are needed to allay the pain of a dislocation and the distress associated with it.

Reduction

An example of a shoulder reduction technique, specifically the Cunningham technique

Shoulder reduction may be accomplished with a number of techniques including traction-countertraction, external rotation, scapular manipulation, Stimson technique, Cunningham technique, or Milch technique.[1][3] Pain can be managed during the procedures either by procedural sedation and analgesia or injected lidocaine into the shoulder joint.[16] Injecting lidocaine into the joint may be less expensive and faster.[4] If a shoulder cannot be relocated in the emergency room, relocation in the operating room may be required.[1] This situation occurs in about 7% of cases.[1]

Post-reduction

There is no strong evidence of a difference in outcomes when the arm is immobilized in internal versus external rotation following an anterior shoulder dislocation.[17][18] A 2008 study found that conventional shoulder immobilisation in a sling offered no benefit.[19]

Surgery

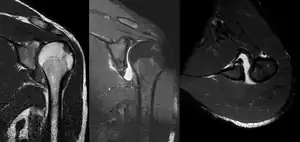
MRI of shoulder after dislocation with Hill-Sachs lesion and labral Bankart's lesion.

In young adults engaged in highly demanding activities shoulder surgery may be considered.[20] Arthroscopic surgery techniques may be used to repair the glenoidal labrum, capsular ligaments, biceps long head anchor or SLAP lesion or to tighten the shoulder capsule.[21]

Arthroscopic stabilization surgery has evolved from the Bankart repair, a time-honored surgical treatment for recurrent anterior instability of the shoulder.[22] However, the failure rate following Bankart repair has been shown to increase markedly in people with significant bone loss from the glenoid (socket).[23] In such cases, improved results have been reported with some form of bone augmentation of the glenoid such as the Latarjet operation.[24][25][26]

Although posterior dislocation is much less common, instability following it is no less challenging and, again, some form of bone augmentation may be required to control instability.[27] Damaged ligaments, including labral tears, occurring as a result of posterior dislocations may be treated arthroscopically.

There remains those situations characterized by multidirectional instability, which have failed to respond satisfactorily to rehabilitation, falling under the AMBRI classification previously noted. This is usually due to an overstretched and redundant capsule which no longer offers stability or support. Traditionally, this has responded well to a 'reefing' procedure known as an open inferior capsular shift.[28] More recently, the procedure has been carried out as an arthroscopic procedure, rather than open surgery, again with comparable results.[28] Most recently, the procedure has been carried out using radio frequency technology to shrink the redundant shoulder capsule (thermal capsular shrinkage);[29] while long-term results of this development are currently unproven, recent studies show thermal capsular shrinkage have higher failure rates with the highest number of cases of instability recurrence and re-operation.[26]

Prognosis

After an anterior shoulder dislocation, the risk of a future dislocation is about 20%. This risk is greater in males than females.[30]

See also

References

  1. 1 2 3 4 5 6 7 8 9 10 11 12 13 14 15 Bonz, J; Tinloy, B (May 2015). "Emergency department evaluation and treatment of the shoulder and humerus". Emergency Medicine Clinics of North America. 33 (2): 297–310. doi:10.1016/j.emc.2014.12.004. PMID 25892723.
  2. 1 2 3 4 5 6 7 8 9 "Dislocated Shoulder". OrthoInfo - AAOS. October 2007. Archived from the original on 17 June 2017. Retrieved 13 October 2017.
  3. 1 2 3 4 5 Cunningham, NJ (2005). "Techniques for reduction of anteroinferior shoulder dislocation". Emergency Medicine Australasia. 17 (5–6): 463–71. doi:10.1111/j.1742-6723.2005.00778.x. PMID 16302939.
  4. 1 2 Wakai, A; O'Sullivan, R; McCabe, A (13 April 2011). "Intra-articular lignocaine versus intravenous analgesia with or without sedation for manual reduction of acute anterior shoulder dislocation in adults". The Cochrane Database of Systematic Reviews (4): CD004919. doi:10.1002/14651858.CD004919.pub2. PMID 21491392.
  5. 1 2 3 4 Essentials of musculoskeletal care. Sarwark, John F. Rosemont, Ill.: American Academy of Orthopaedic Surgeons. 2010. ISBN 978-0892035793. OCLC 706805938.{{cite book}}: CS1 maint: others (link)
  6. Rabow, Michael W.; McPhee, Stephen J.; Papadakis, Maxine A. (2017-09-02). Current medical diagnosis & treatment 2018. Papadakis, Maxine A., McPhee, Stephen J., Rabow, Michael W. (Fifty-seventh ed.). New York. ISBN 9781259861482. OCLC 959649794.
  7. Shoulder Dislocations at eMedicine
  8. Riebel, G. D.; McCabe, J. B. (March 1991). "Anterior shoulder dislocation: a review of reduction techniques". The American Journal of Emergency Medicine. 9 (2): 180–88. doi:10.1016/0735-6757(91)90187-o. ISSN 0735-6757. PMID 1994950.
  9. Kelley, SP; Hinsche, AF; Hossain, JF (November 2004). "Axillary artery transection following anterior shoulder dislocation: Classical presentation and current concepts". Injury. 35 (11): 1128–32. doi:10.1016/j.injury.2003.08.009. PMID 15488503.
  10. 1 2 Malik, S; Chiampas, G; Leonard, H (November 2010). "Emergent evaluation of injuries to the shoulder, clavicle, and humerus". Emerg Med Clin North Am. 28 (4): 739–63. doi:10.1016/j.emc.2010.06.006. PMID 20971390.
  11. Dislocations, Shoulder at eMedicine
  12. Life in the Fast Lane Posterior Shoulder Dislocation Archived January 6, 2010, at the Wayback Machine
  13. Hawkins, RJ; Neer, CS; Pianta, RM; Mendoza, FX (January 1987). "Locked posterior dislocation of the shoulder". J Bone Joint Surg Am. 69 (1): 9–18. doi:10.2106/00004623-198769010-00003. PMID 3805075. Archived from the original on 2007-10-13.
  14. Dislocations, Shoulder~clinical at eMedicine
  15. Yamamoto, Tetsuji; Yoshiya, Shinichi; Kurosaka, Masahiro; Nagira, Keiko; Nabeshima, Yuji (December 2003). "Luxatio erecta (inferior dislocation of the shoulder): a report of 5 cases and a review of the literature". American Journal of Orthopedics (Belle Mead, N.J.). 32 (12): 601–03. ISSN 1078-4519. PMID 14713067.
  16. Fitch, RW; Kuhn, JE (August 2008). "Intraarticular lidocaine versus intravenous procedural sedation with narcotics and benzodiazepines for reduction of the dislocated shoulder: a systematic review". Academic Emergency Medicine. 15 (8): 703–08. doi:10.1111/j.1553-2712.2008.00164.x. PMID 18783486.
  17. Whelan, DB; Kletke, SN; Schemitsch, G; Chahal, J (26 June 2015). "Immobilization in External Rotation Versus Internal Rotation After Primary Anterior Shoulder Dislocation: A Meta-analysis of Randomized Controlled Trials". The American Journal of Sports Medicine. 44 (2): 521–32. doi:10.1177/0363546515585119. PMID 26116355.
  18. Braun, Cordula; McRobert, Cliona J. (2019). "Conservative management following closed reduction of traumatic anterior dislocation of the shoulder". The Cochrane Database of Systematic Reviews. 5: CD004962. doi:10.1002/14651858.CD004962.pub4. ISSN 1469-493X. PMC 6510174. PMID 31074847.
  19. Chalidis B, Sachinis N, Dimitriou C, Papadopoulos P, Samoladas E, Pournaras J (June 2007). "Has the management of shoulder dislocation changed over time?". Int Orthop. 31 (3): 385–89. doi:10.1007/s00264-006-0183-y. PMC 2267594. PMID 16909255.
  20. Longo UG, Loppini M, Rizzello G, Ciuffreda M, Maffulli N, Denaro V (Apr 2014). "Management of Primary Acute Anterior Shoulder Dislocation: Systematic Review and Quantitative Synthesis of the Literature". Arthroscopy. 30 (4): 506–22. doi:10.1016/j.arthro.2014.01.003. PMID 24680311.
  21. "Shoulder Scope". UW Orthopaedics and Sports Medicine, Seattle. 3 August 2012. Archived from the original on 13 October 2017. Retrieved 14 October 2017.
  22. "Bankart repair for unstable dislocating shoulders". University of Washington: Orthopaedics and Sports Medicine. Archived from the original on 2008-01-15.
  23. Burkhart, SS; De Beer, JF (Oct 2000). "Traumatic glenohumeral bone defects and their relationship to failure of arthroscopic Bankart repairs: significance of the inverted-pear glenoid and the humeral engaging Hill-Sachs lesion". Arthroscopy. 16 (7): 677–94. doi:10.1053/jars.2000.17715. PMID 11027751.
  24. Burkhart SS, De Beer JF, Barth JR, Cresswell T, Roberts C, Richards DP (Oct 2007). "Results of modified Latarjet reconstruction in patients with anteroinferior instability and significant bone loss". Arthroscopy. 23 (10): 1033–41. doi:10.1016/j.arthro.2007.08.009. PMID 17916467.
  25. Noonan B, Hollister SJ, Sekiya JK, Bedi A (Aug 2014). "Comparison of reconstructive procedures for glenoid bone loss associated with recurrent anterior shoulder instability". J Shoulder Elbow Surg. 23 (8): 1113–19. doi:10.1016/j.jse.2013.11.011. PMID 24561175.
  26. 1 2 Barmare, Arshad; Critchley, Ian; Herald, Jonathan; Goldberg, Jerome; Chen, Dong (2016-02-01). "Effects of surgical management on multidirectional instability of the shoulder: a meta-analysis". Knee Surgery, Sports Traumatology, Arthroscopy. 24 (2): 630–639. doi:10.1007/s00167-015-3901-4. ISSN 1433-7347. PMID 26658564.
  27. Millett PJ, Schoenahl JY, Register B, Gaskill TR, van Deurzen DF, Martetschläger F (Feb 2013). "Reconstruction of posterior glenoid deficiency using distal tibial osteoarticular allograft". Knee Surg Sports Traumatol Arthrosc. 21 (2): 445–49. doi:10.1007/s00167-012-2254-5. PMID 23114865.
  28. 1 2 Fleega, BA; El Shewy, MT (May 2012). "Arthroscopic inferior capsular shift: long-term follow-up". Am J Sports Med. 40 (5): 1126–32. doi:10.1177/0363546512438509. PMID 22437281.
  29. Mohtadi NG, Kirkley A, Hollinshead RM, McCormack R, MacDonald PB, Chan DS, Sasyniuk TM, Fick GH, Paolucci EO (Aug 2014). "Electrothermal arthroscopic capsulorrhaphy: old technology, new evidence. A multicenter randomized clinical trial". J Shoulder Elbow Surg. 23 (8): 1171–80. doi:10.1016/j.jse.2014.02.022. PMID 24939380.
  30. Wasserstein, DN; Sheth, U; Colbenson, K; Henry, PD; Chahal, J; Dwyer, T; Kuhn, JE (December 2016). "The True Recurrence Rate and Factors Predicting Recurrent Instability After Nonsurgical Management of Traumatic Primary Anterior Shoulder Dislocation: A Systematic Review". Arthroscopy. 32 (12): 2616–25. doi:10.1016/j.arthro.2016.05.039. PMID 27487737.
Classification
External resources
This article is issued from Wmcloud. The text is licensed under Creative Commons - Attribution - Sharealike. Additional terms may apply for the media files.