Synucleinopathy
| Synucleinopathy | |
|---|---|
| Other names | α-Synucleinopathies |
![]() | |
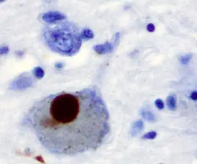
| Positive α-Synuclein staining of a Lewy body in a patient with Parkinson's disease. | |
| Specialty | Neurology |
Synucleinopathies (also called α-Synucleinopathies) are neurodegenerative diseases characterised by the abnormal accumulation of aggregates of alpha-synuclein protein in neurons, nerve fibres or glial cells.[1] There are three main types of synucleinopathy: Parkinson's disease (PD), dementia with Lewy bodies (DLB), and multiple system atrophy (MSA).[1] Other rare disorders, such as various neuroaxonal dystrophies, also have α-synuclein pathologies.[2] Additionally, autopsy studies have shown that around 6% of sporadic Alzheimer's Disease exhibit α-synuclein positive Lewy pathology, and are sub-classed as Alzheimer's Disease with Amygdalar Restricted Lewy Bodies (AD/ALB).[3][4][5][6][7]
Presentation
The synucleinopathies have shared features of parkinsonism, impaired cognition, sleep disorders, and visual hallucinations.[8]
Synucleinopathies can sometimes overlap with tauopathies, possibly because of interaction between the synuclein and tau proteins.[9]
REM sleep behavior disorder (RBD) is a parasomnia in which individuals with RBD lose the paralysis of muscles (atonia) that is normal during rapid eye movement (REM) sleep, and act out their dreams or have other abnormal movements or vocalizations.[10] Abnormal sleep behaviors may appear decades before any other symptoms, often as an early sign of a synucleinopathy.[11] On autopsy, 94 to 98% of individuals with polysomnography-confirmed RBD are found to have a synucleinopathy—most commonly DLB or PD.[10][12][13] Other symptoms of the specific synucleinopathy usually manifest within 15 years of the diagnosis of RBD,[14] but may emerge up to 50 years after RBD diagnosis.[10]
Alpha-synuclein deposits can affect the cardiac muscle and blood vessels.[15] Almost all people with synucleinopathies have cardiovascular dysfunction, although most are asymptomatic.[15]
From chewing to defecation, alpha-synuclein deposits affect every level of gastrointestinal function. Symptoms include upper gastrointestinal tract dysfunction such as delayed gastric emptying or lower gastrointestinal dysfunction, such as constipation and prolonged stool transit time.[15]
Urinary retention, waking at night to urinate, increased urinary frequency and urgency, and over- or underactive bladder are common in people with synucleinopathies.[15] Sexual dysfunction usually appears early in synucleinopathies, and may include erectile dysfunction, and difficulties achieving orgasm or ejaculating.[15]
Diagnosis
Differential diagnosis
Persons with PD are typically less caught up in their visual hallucinations than those with DLB.[16] There is a lower incidence of tremor at rest in DLB than in PD, and signs of parkinsonism in DLB are more symmetrical.[11] In MSA, autonomic dysfunction appears earlier and is more severe, and is accompanied by uncoordinated movements, while visual hallucinations and fluctuating cognition are less common than in DLB.[17] Urinary difficulties are one of the earliest symptoms with MSA, and are often severe.[15]
DNA damage
Alpha-synuclein modulates DNA repair processes, including the repair of DNA double-strand breaks by the non-homologous end joining pathway.[18] The DNA repair function of alpha-synuclein appears to be compromised in Lewy body inclusion bearing neurons, and this may trigger cell death. Study of synucleinopathy mouse models of Parkinson's disease indicates that alpha-synuclein pathogenesis is associated with increased DNA damage and activation of the DNA damage response.[19]
See also
References
- 1 2 McCann H, Stevens CH, Cartwright H, Halliday GM (2014). "Α-Synucleinopathy phenotypes". Parkinsonism & Related Disorders. 20 (Suppl 1): S62–S67. doi:10.1016/S1353-8020(13)70017-8. hdl:1959.4/53593. PMID 24262191.
- ↑ Goedert M, Jakes R, Spillantini MG (2017). "The Synucleinopathies: Twenty Years On". J Parkinsons Dis. 7 (s1): S53–S71. doi:10.3233/JPD-179005. PMC 5345650. PMID 28282814.
- ↑ Arai, Yasushi; Yamazaki, Mineo; Mori, Osamu; Muramatsu, Hiromi; Asano, Goro; Katayama, Yasuo (January 2001). "α-Synuclein-positive structures in cases with sporadic Alzheimer's disease: morphology and its relationship to tau aggregation". Brain Research. 888 (2): 287–296. doi:10.1016/S0006-8993(00)03082-1. PMID 11150486. S2CID 3044534.
- ↑ Nelson, Peter T; Abner, Erin L; Patel, Ela; Anderson, Sonya; Wilcock, Donna M; Kryscio, Richard J; Van Eldik, Linda J; Jicha, Gregory A; Gal, Zsombor; Nelson, Ruth S; Nelson, Bela G; Gal, Jozsef; Azam, Md. Tofial; Fardo, David W; Cykowski, Matthew D (1 January 2018). "The Amygdala as a Locus of Pathologic Misfolding in Neurodegenerative Diseases". Journal of Neuropathology & Experimental Neurology. 77 (1): 2–20. doi:10.1093/jnen/nlx099. PMC 5901077. PMID 29186501.
- ↑ Hamilton, Ronald L. (5 April 2006). "Lewy Bodies in Alzheimer's Disease: A Neuropathological Review of 145 Cases Using α-Synuclein Immunohistochemistry". Brain Pathology. 10 (3): 378–384. doi:10.1111/j.1750-3639.2000.tb00269.x. PMC 8098522. PMID 10885656.
- ↑ Toledo, Jon B.; Gopal, Pallavi; Raible, Kevin; Irwin, David J.; Brettschneider, Johannes; Sedor, Samantha; Waits, Kayla; Boluda, Susana; Grossman, Murray; Van Deerlin, Vivianna M.; Lee, Edward B.; Arnold, Steven E.; Duda, John E.; Hurtig, Howard; Lee, Virginia M.-Y.; Adler, Charles H.; Beach, Thomas G.; Trojanowski, John Q. (March 2016). "Pathological α-synuclein distribution in subjects with coincident Alzheimer's and Lewy body pathology". Acta Neuropathologica. 131 (3): 393–409. doi:10.1007/s00401-015-1526-9. PMC 4754135. PMID 26721587.
- ↑ Uchikado, Hirotake; Lin, Wen-Lang; DeLucia, Michael W.; Dickson, Dennis W. (July 2006). "Alzheimer Disease With Amygdala Lewy Bodies: A Distinct Form of α-Synucleinopathy". Journal of Neuropathology and Experimental Neurology. 65 (7): 685–697. doi:10.1097/01.jnen.0000225908.90052.07. PMC 5706655. PMID 16825955.
- ↑ Pezzoli S, Cagnin A, Bandmann O, Venneri A (July 2017). "Structural and Functional Neuroimaging of Visual Hallucinations in Lewy Body Disease: A Systematic Literature Review". Brain Sci (Review). 7 (12): 84. doi:10.3390/brainsci7070084. PMC 5532597. PMID 28714891.
- ↑ Moussaud S, Jones DR, Moussaud-Lamodière EL, et al. (October 2014). "Alpha-synuclein and tau: teammates in neurodegeneration?". Mol Neurodegener. 9: 43. doi:10.1186/1750-1326-9-43. PMC 4230508. PMID 25352339.
- 1 2 3 St Louis EK, Boeve BF (November 2017). "REM sleep behavior disorder: Diagnosis, clinical implications, and future directions". Mayo Clin. Proc. (Review). 92 (11): 1723–36. doi:10.1016/j.mayocp.2017.09.007. PMC 6095693. PMID 29101940.
- 1 2 St Louis EK, Boeve AR, Boeve BF (May 2017). "REM sleep behavior disorder in Parkinson's disease and other synucleinopathies". Mov. Disord. (Review). 32 (5): 645–58. doi:10.1002/mds.27018. PMID 28513079. S2CID 46881921.
- ↑ Boot BP, McDade EM, McGinnis SM, Boeve BF (December 2013). "Treatment of dementia with Lewy bodies". Curr Treat Options Neurol (Review). 15 (6): 738–64. doi:10.1007/s11940-013-0261-6. PMC 3913181. PMID 24222315.
- ↑ Boot BP (2015). "Comprehensive treatment of dementia with Lewy bodies". Alzheimers Res Ther (Review). 7 (1): 45. doi:10.1186/s13195-015-0128-z. PMC 4448151. PMID 26029267.
- ↑ Walker Z, Possin KL, Boeve BF, Aarsland D (October 2015). "Lewy body dementias". Lancet (Review). 386 (10004): 1683–97. doi:10.1016/S0140-6736(15)00462-6. PMC 5792067. PMID 26595642.
- 1 2 3 4 5 6 Palma JA, Kaufmann H (March 2018). "Treatment of autonomic dysfunction in Parkinson disease and other synucleinopathies". Mov. Disord. (Review). 33 (3): 372–90. doi:10.1002/mds.27344. PMC 5844369. PMID 29508455.
- ↑ Burghaus L, Eggers C, Timmermann L, Fink GR, Diederich NJ (February 2012). "Hallucinations in neurodegenerative diseases". CNS Neurosci Ther (Review). 18 (2): 149–59. doi:10.1111/j.1755-5949.2011.00247.x. PMC 6493408. PMID 21592320.
- ↑ Gomperts SN (April 2016). "Lewy body dementias: Dementia with Lewy bodies and Parkinson disease dementia". Continuum (Minneap Minn) (Review). 22 (2 Dementia): 435–63. doi:10.1212/CON.0000000000000309. PMC 5390937. PMID 27042903.
- ↑ Schaser AJ, Osterberg VR, Dent SE, Stackhouse TL, Wakeham CM, Boutros SW, Weston LJ, Owen N, Weissman TA, Luna E, Raber J, Luk KC, McCullough AK, Woltjer RL, Unni VK (Jul 2019). "Alpha-synuclein is a DNA binding protein that modulates DNA repair with implications for Lewy body disorders". Sci. Rep. 9 (1): 10919. Bibcode:2019NatSR...910919S. doi:10.1038/s41598-019-47227-z. PMC 6662836. PMID 31358782.
- ↑ Milanese C, Cerri S, Ulusoy A, Gornati SV, Plat A, Gabriels S, Blandini F, Di Monte DA, Hoeijmakers JH, Mastroberardino PG (Jul 2018). "Activation of the DNA damage response in vivo in synucleinopathy models of Parkinson's disease". Cell Death Dis. 9 (8): 818. doi:10.1038/s41419-018-0848-7. PMC 6062587. PMID 30050065.
