Basal-cell carcinoma

Basal-cell carcinoma
Other names: Basal-cell skin cancer, basal cell epithelioma, basalioma[1]
Ulcerated basal-cell carcinoma affecting the skin of the nose in an elderly individual
SpecialtyDermatology, oncology
SymptomsPainless raised area of skin that may be shiny with small blood vessel running over it or ulceration, rolled edge[2]
Usual onsetAdults
TypesNodular, cystic, morpheaform, others[1]
Risk factorsLight skin, ultraviolet light, radiation therapy, arsenic, poor immune function[1]
Diagnostic methodBy its appearance, skin biopsy[2]
Differential diagnosisTrichoepithelioma,[1] squamous cell carcinoma, seborrheic keratosis, melanoma, psoriasis, sebaceous hyperplasia[2]
TreatmentSurgical removal, photodynamic therapy, radiation treatment[2]
PrognosisDepends on type, mostly good, may recur[1]
Frequency~30% of white people at some point (US)[3] males>females[1]
DeathsRare[1]

Basal-cell carcinoma (BCC), also known as basal-cell cancer, is a type of skin cancer.[1] The classic appearance is a painless small raised bump in the skin, which may be shiny with overlying small blood vessels, and have a central dip or ulcer, crusting, or blood.[2] Larger ones may have a rolled edge.[2] Other patterns may include blue-grey fluid-filled small bumps, white plaques, or dry scaly marks.[2] There are generally no symptoms; though if scratched, they may bleed.[2] It tends to grow slowly, damage surrounding tissue, but is unlikely to spread to distant areas or result in death.[4]

Risk factors include exposure to ultraviolet light, having lighter skin, radiation therapy, long-term exposure to arsenic and poor immune-system function.[1] The use of tanning beds and exposure to UV light during childhood is particularly harmful.[1] It is believed to originate from a type of cell associated with the hair follicle.[1] Diagnosis is by its appearance and confirmed by tissue biopsy.[2]

It remains unclear whether sunscreen affects the risk of basal-cell cancer.[2] Treatment is typically by surgical removal.[2] This can be by simple excision if the cancer is small; otherwise, Mohs surgery is generally recommended.[3] Other options include electrodesiccation and curettage, cryosurgery, topical chemotherapy, photodynamic therapy, laser surgery or the use of imiquimod, a topical immune-activating medication.[5] In the rare cases in which distant spread has occurred, chemotherapy or targeted therapy may be used.[5]

Basal-cell cancer is the most common type of skin cancer and the most common cancer overall.[1] It accounts for at least 32% of all cancers globally.[6][7] Of skin cancers other than melanoma, about 80% are basal-cell cancers.[3] It occurs most frequently in Australia, where 50% of people develop BCC before the age of 70.[1] In the United States, about 35% of white males and 25% of white females are affected by BCC at some point in their lives.[3]

Signs and symptoms

Individuals with a basal-cell carcinoma typically present with a shiny, pearly skin nodule. However, superficial basal-cell cancer can present as a red patch similar to eczema. Infiltrative or morpheaform basal-cell cancers can present as a skin thickening or scar tissue – making diagnosis difficult without using tactile sensation and a skin biopsy. It is often difficult to visually distinguish basal-cell cancer from acne scar, actinic elastosis, and recent cryodestruction inflammation.

Cause

The majority of basal-cell carcinomas occur on sun-exposed areas of the body.[8]

Pathophysiology

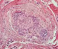
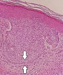
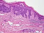
Micrograph of a basal-cell carcinoma, showing the characteristic histomorphologic features (peripheral palisading, myxoid stroma, artefactual clefting). H&E stain

Basal-cell carcinomas are currently considered to have origin from the folliculo-sebaceous-apocrine germ, also known as trichoblast. The differential diagnosis with trichoblastic carcinoma, a rare malignant form of trichoblastoma, can be challenging.[9] Alternatively, one argument is that basal-cell carcinoma is trichoblastic carcinoma.[10] Overexposure to sun leads to the formation of thymine dimers, a form of DNA damage. While DNA repair removes most UV-induced damage, not all crosslinks are excised. There is, therefore, cumulative DNA damage leading to mutations. Apart from the mutagenesis, overexposure to sunlight depresses the local immune system, possibly decreasing immune surveillance for new tumor cells.

Basal-cell carcinomas can often come in association with other lesions of the skin, such as actinic keratosis, seborrheic keratosis, squamous cell carcinoma.[11] In a small proportion of cases, basal-cell carcinoma also develops as a result of basal-cell nevus syndrome, or Gorlin Syndrome, which is also characterized by keratocystic odontogenic tumors of the jaw, palmar or plantar (sole of the foot) pits, calcification of the falx cerebri (in the center line of the brain) and rib abnormalities. The cause of this syndrome is a mutation in the PTCH1 tumor suppressor gene located in chromosome 9q22.3, which inhibits the hedgehog signaling pathway. A mutation in the SMO gene, which is also on the hedgehog pathway, also causes basal-cell carcinoma.[12]

Diagnosis

To diagnose basal-cell carcinomas, a skin biopsy is performed for histopathologic analyses. The most common method is a shave biopsy under local anesthesia. Most nodular basal-cell cancers can be diagnosed clinically; however, other variants can be very difficult to distinguish from benign lesions such as intradermal naevus, sebaceomas, fibrous papules, early acne scars, and hypertrophic scarring.[13] Exfoliative cytology methods have high sensitivity and specificity for confirming the diagnosis of basal cell carcinoma when clinical suspicion is high but unclear usefulness otherwise.[14]

Characteristics

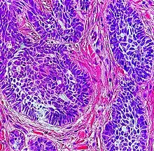
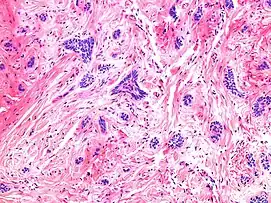
High-magnification micrograph of basal-cell carcinoma.

Basal-cell carcinoma cells appear similar to epidermal basal cells, and are usually well differentiated.[15]

In uncertain cases, immunohistochemistry using BerEP4 can be used, having a high sensitivity and specificity in detecting only BCC cells.[16]

Main classes

Basal-cell carcinoma can broadly be divided into three groups, based on the growth patterns.

  1. Superficial basal-cell carcinoma, formerly referred to in-situ basal-cell carcinoma, is characterized by a superficial proliferation of neoplastic basal-cells. This tumor is generally responsive to topic chemotherapy, such as imiquimod, or fluorouracil.
  2. Infiltrative basal-cell carcinoma, which also encompasses morpheaform and micronodular basal-cell cancer, is more difficult to treat with conservative methods, given its tendency to penetrate into deeper layers of the skin.
  3. Nodular basal-cell carcinoma includes most of the remaining categories of basal-cell cancer. It is not unusual to encounter heterogeneous morphologic features within the same tumor.

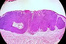
Nodular basal-cell carcinoma

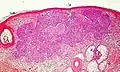
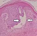
Basal-cell carcinoma with nodular pattern.

Nodular basal-cell carcinoma (also known as "classic basal-cell carcinoma") accounts for between 50% and 80% of all BCC.[2] It most commonly occurs on the sun-exposed areas of the head and neck.[2] Histopathology shows aggregates of basaloid cells with well-defined borders, showing a peripheral palisading of cells and one or more typical clefts.[17] Such clefts are caused by shrinkage of mucin during tissue fixation and staining.[18] Central necrosis with eosinophilic, granular features may be also present, as well as mucin. The heavy aggregates of mucin determine a cystic structure. Calcification may be also present, especially in long-standing lesions.[17] Mitotic activity is usually not so evident, but a high mitotic rate may be present in more aggressive lesions.[17] Adenoidal BCC can be classified as a variant of NBCC, characterized by basaloid cells with a reticulated configuration extending into the dermis.[17]

Other subtypes

Other more specific subtypes of basal-cell carcinoma include:[19][2]

TypeHistopathologyOther characteristicsImage
Cystic basal-cell carcinoma Morphologically characterized by dome-shaped, blue-gray cystic nodules.[2]
Morpheaform basal-cell carcinoma (also known as "cicatricial basal-cell carcinoma", and "morphoeic basal-cell carcinoma") Narrow strands and nests of basaloid cells, surrounded by dense sclerotic stroma.[20]Aggressive[19]:748[2]
Infiltrative basal-cell carcinoma Deep infiltration.[2]Aggressive[2]
Micronodular basal-cell carcinoma Small and closely spaced nests.
Superficial basal-cell carcinoma (also known as "superficial multicentric basal-cell carcinoma") Occurs most commonly on the trunk and appears as an erythematous patch.[19]:748[2]
Pigmented basal-cell carcinoma exhibits increased melanization.[19]:748[2]:647 About 80% of all basal-cell carcinoma in Chinese are pigmented while this subtype is uncommon in white people.
Rodent ulcer (also known as a "Jacob's ulcer") Nodular, with central necrosis.[19]:748[2]Generally a large skin lesion with central necrosis.[19]:748[2]
Fibroepithelioma of Pinkus Anastomosing epithelial strands in a fenestrated pattern[21]Most commonly occurs on the lower back.[19]:748[2]
Polypoid basal-cell carcinoma Exophytic nodules (polyp-like structures)Generally on head and neck.[2]
Pore-like basal-cell carcinoma Resembles an enlarged pore or stellate pit.[2]
Aberrant basal-cell carcinoma Absence of any apparent carcinogenic factor, and occurring in odd sites such as the scrotum, vulva, perineum, nipple, and axilla.[2]

Aggressiveness patterns

There are mainly three patterns of aggressiveness, based mainly the cohesion of cancer cells:[22]

Low-level aggressive patternModerately aggressive patternHighly aggressive pattern

Differential diagnoses

Main histological differential diagnoses of basal cell carcinoma:[17]
Differential diagnosisPathological FeaturesImage
Hair follicles Peripheral sections may look like nests, but do not display atypia, nuclei are smaller, and serial sections will reveal the rest of the hair follicle.
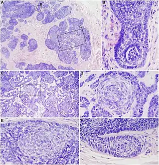
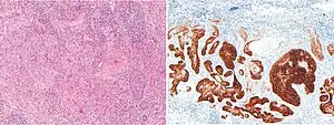
Squamous-cell carcinoma of the skin Squamous-cell carcinoma of the skin is generally distinguishable by for example relatively more cytoplasm, horn cyst formation and absence of palisading and cleft formations. Yet, a high prevalence means a relatively high incidence of borderline cases, such as basal-cell carcinoma with squamous cell metaplasia (H&E stain at left in image). BerEP4 staining helps in such cases, staining only basal-cell carcinoma cells (right in image).
TrichoblastomaAbsence of cleft, rudimentary hair germs, papillary mesenchymal bodies.
Adenoid cystic carcinomaLack of basaloid cells disposed in peripheral palisades; adenoid-cystic lesion without connection to the epidermis; absence of artefactual clefts
Microcystic adnexal carcinomaBland keratinocytes, keratin cysts, ductal differentiation. BerEp4- (in 60% of cases),[24] CEA+, EMA+
Trichoepithelioma[notes 1]Rims of collagen bundles, calcification, follicular/sebaceous/infundibular differentiation and cut artefacts. Cytokeratin (CK)20+, p75+, Pleckstrin homology-like domain family A member 1 + (PHLDA1+), common acute lymphoblastic leukemiaantigen + (CD10+) in tumor stroma, CK 6-, Ki-67- and Androgen Rceptor- (AR-)
Merkel cell carcinomaCells arranged in a diffuse, trabecular and/or nested pattern, involving also the subcutis. Mouse Anti-Cytokeratin (CAM) 5.2+, CK20+, S100-, human leukocyte common antigen- ( LCA-), thyroid transcription factor 1- (TTF1-)

Radicality

Comparison H&E stain (left) with BerEP4 immunohistochemistry staining (right) on a pathological section having BCC with squamous cell metaplasia. Only BCC cells are stained with BerEP4.[16]

In suspected but uncertain BCC cells close to the resection margins, immunohistochemistry with BerEp4 can highlight the BCC cells.

Prevention

Basal-cell carcinoma is a common skin cancer and occurs mainly in fair-skinned patients with a family history of this cancer. Sunlight is a factor in about two-thirds of these cancers; therefore, doctors recommend sunscreens with at least SPF 30. However, a Cochrane review examining the effect of solar protection (sunscreen only) in preventing the development of basal-cell carcinoma or cutaneous squamous cell carcinoma found that there was insufficient evidence to demonstrate whether sunscreen was effective for the prevention of either of these keratinocyte-derived cancers.[25] The review did ultimately state that the certainty of these results was low, so future evidence could very well alter this conclusion. One-third occur in non-sun-exposed areas; thus, the pathogenesis is more complex than UV exposure as the cause.[8]

The use of a chemotherapeutic agent such as 5-Fluorouracil or imiquimod can prevent the development of skin cancer. It is usually recommended to individuals with extensive sun damage, history of multiple skin cancers, or rudimentary forms of cancer (i.e., solar keratosis).[26] It is often repeated every 2 to 3 years to further decrease the risk of skin cancer.

Treatment

The following methods are employed in the treatment of basal-cell carcinoma (BCC):

Surgery

Standard surgical excision

A weakness with standard surgical excision is a reported higher recurrence rate of basal-cell cancers of the face, especially around the eyelids,[27] nose, and facial structures.[28] There is no clear approach for treating basal-cell carcinoma around the eye.[29] A diagram on page 38 of the National Comprehensive Cancer Network publication demonstrate the area of high risk of recurrence as being most of the face with the exception of the central cheek and upper forehead.[30]

For ill-defined or recurrent basal-cell cancer on the face after previous surgery, special surgical margin controlled processing (CCPDMA – complete circumferential peripheral and deep margin assessment[30])[31] using frozen section histology (Mohs surgery is one of the methods) should be considered.[32][33] The pathologist processing the frozen section specimen should cut multiple sections through the block to minimize the false negative error rate. Or one should simply process the tissue utilizing a method approximating the Mohs method (described in most basic histopathology text books or described in this reference [32]) during frozen section processing. Unfortunately, these methods are difficult when applied to frozen sections; and they are very tedious to process. When not utilizing frozen section, the surgeon might have to wait a week or more before informing the patient if more tumour is left, or if the surgical margin is too narrow.[34] A second surgery must be performed to remove the residual or potential residual tumour once the surgeon informs the patient of the positive or narrow surgical margin on the surgical pathology report.

For poorly defined or recurrent tumours on the face, Mohs surgery or frozen section histology with either margin control (ccpdma) or thin serial bread-loafing should be considered.[30] However, most standard excisions done in a plastic surgeon or dermatologist's office are sent to an outside laboratory for standard bread loafing method of processing.[35] With this method, it is likely that less than 5% of the surgical margin is examined, as each slice of tissue is only 6 micrometres thick, about 3 to 4 serial slices are obtained per section, and only about 3 to 4 sections are obtained per specimen.[36] A meta-analysis of randomized controlled trials supports surgery as the most effective treatment of BCC of the skin.[37] There is no clear research comparing the effectiveness of Mohs micrographic surgery versus surgical excision for BCC of the eye.[29]

Mohs surgery

Mohs surgery (or Mohs micrographic surgery) is an outpatient procedure, which was developed by Frederic E. Mohs in the 1940s,[38] in which the tumor is surgically excised and then immediately examined under a microscope. It is a form of pathology processing called CCPDMA. The base and edges are microscopically examined to verify sufficient margins before the surgical repair of the site. If the margins are insufficient, more is removed from the patient until the margins are sufficient. It is also used for squamous-cell carcinoma; however, the cure rate is not as high as Mohs surgery for basal-cell carcinoma. The 2008 study found MMS to be a good option for both primary and high-risk recurrent BCCs.[38]

Cryosurgery

Cryosurgery is an old modality for the treatment of many skin cancers. When accurately utilized with a temperature probe and cryotherapy instruments, it can result in very good cure rate. Disadvantages include lack of margin control, tissue necrosis, over or under treatment of the tumor, and long recovery time. Overall, there are sufficient data to consider cryosurgery as a reasonable treatment for BCC. There are no good studies, however, comparing cryosurgery with other modalities, particularly with Mohs surgery, excision, or electrodesiccation and curettage so that no conclusion can be made whether cryosurgery is as efficacious as other methods. Also, there is no evidence on whether curetting the lesions before cryosurgery affects the efficacy of treatment.[39] Several textbooks are published on the therapy, and a few physicians still apply the treatment to selected patients.[40]

Electrodesiccation and curettage

Electrodesiccation and curettage (EDC, also known as curettage and cautery, simply curettage)[38] is accomplished by using a round knife, or curette, to scrape away the soft cancer. The skin is then burned with an electric current. This further softens the skin, allowing for the knife to cut more deeply with the next layer of curettage. The cycle is repeated, with a safety margin of curettage of normal skin around the visible tumor. This cycle is repeated 3 to 5 times, and the free skin margin treated is usually 4 to 6 mm. Cure rate is very much user-dependent and depends also on the size and type of tumor. Infiltrative or morpheaform BCCs can be difficult to eradicate with EDC. Generally, this method is used on cosmetically unimportant areas like the trunk (torso). Some physicians believe that it is acceptable to utilize EDC on the face of elderly patients over the age of 70. However, with increasing life expectancy, such an objective criterion cannot be supported. The cure rate can vary, depending on the aggressiveness of the EDC and the free margin treated. Some advocate curettage alone without electrodesiccation, and with the same cure rate.[41]

Chemotherapy

Some superficial cancers respond to local therapy with 5-fluorouracil, a chemotherapy agent. Topical treatment with 5% imiquimod cream, with five applications per week for six weeks has a reported 70–90% success rate at reducing, even removing, the BCC [basal-cell carcinoma]. Both Imiquimod and 5-fluorouracil have received FDA approval, and topical IMQ is approved by the European Medicines Agency for treatment of small superficial basal-cell carcinoma.[38] Off label use of imiquimod on invasive basal-cell carcinoma has been reported. Imiquimod may be used prior to surgery in order to reduce the size of the carcinoma. One can expect a great deal of inflammation with this treatment.[42] Chemotherapy often follows Mohs surgery to eliminate the residual superficial basal-cell carcinoma after the invasive portion is removed. Some advocate the use of imiquimod prior to Mohs surgery to remove the superficial component of the cancer.[43]

Removing the residual superficial tumor with surgery alone can result in large and difficult to repair surgical defects. One often waits a month or more after surgery before starting the Imiquimod or 5-fluorouracil to make sure the surgical wound has adequately healed. Some people advocate the use of curettage (see EDC below) first, followed by chemotherapy. These experimental procedures are not standard care.[38]

Vismodegib and sonidegib are drugs approved for specially treating BCC, but are expensive and cannot be used in pregnant women.

Immunotherapy

Immunotherapy research suggests that treatment using Euphorbia peplus, a common garden weed, may be effective.[44] Australian biopharmaceutical company Peplin[45] is developing this as topical treatment for BCC. Imiquimod is an immunotherapy but is listed here under chemotherapy.

Radiation

Radiation therapy can be delivered either as external beam radiotherapy or as brachytherapy (internal radiotherapy). Although radiotherapy is generally used in older patients who are not candidates for surgery, it is also used in cases where surgical excision will be disfiguring or difficult to reconstruct (especially on the tip of the nose, and the nostril rims). Radiation treatment often takes as few as 5 visits to as many as 25 visits. Usually, the more visits scheduled for therapy, the less complication or damage is done to the normal tissue supporting the tumor. Radiotherapy can also be useful if surgical excision has been done incompletely or if the pathology report following surgery suggests a high risk of recurrence, for example if nerve involvement has been demonstrated. Cure rate can be as high as 95% for small tumor, or as low as 80% for large tumors.

Usually, recurrent tumors after radiation are treated with surgery, and not with radiation. Further radiation treatment will further damage normal tissue, and the tumor might be resistant to further radiation. Radiation therapy may be contraindicated for treatment of nevoid basal-cell carcinoma syndrome. A meta-analysis of randomized controlled trials supports radiotherapy as one of the most effective treatments for BCC.[37] A 2008 study reported that radiation therapy is appropriate for primary BCCs and recurrent BCCs, but not for BCCs that have recurred following previous radiation treatment.[38]

Photodynamic therapy

Photodynamic therapy (PDT) is a new modality for treatment of basal-cell carcinoma, which is administrated by application of photosensitizers to the target area. When these molecules are activated by light, they become toxic, therefore destroy the target cells. Methyl aminolevulinate is approved by EU as a photosensitizer since 2001. This therapy is also used in other skin cancer types.[46] The 2008 study reported that PDT was a good treatment option for primary superficial BCCs and reasonable for primary low-risk nodular BCCs but a "relatively poor" option for high-risk lesions.[38]

Prognosis

Prognosis is excellent if the appropriate method of treatment is used in early primary basal-cell cancers. Recurrent cancers are much harder to cure, with a higher recurrent rate with any methods of treatment. Although basal-cell carcinoma rarely metastasizes, it grows locally with invasion and destruction of local tissues. The cancer can impinge on vital structures like nerves and result in loss of sensation or loss of function or rarely death. The vast majority of cases can be successfully treated before serious complications occur. The recurrence rate for the above treatment options ranges from 50 percent to 1 percent or less.

Epidemiology

Basal-cell cancer is the most common type of skin cancer and the most common cancer overall.[1] It occurs at least three times more frequently than squamous cell carcinoma in people who do not have weakened immune systems.[4] Most occur on the nose.[4] This tumor accounts for approximately 70% of non-melanoma skin cancers. In 80 percent of all cases, BCC affects the skin of head and neck, with increasing numbers affecting the trunk.[47]

It occurs most frequently in Australia, where 50% of people there will develop BCC before reaching the age of 70 years.[1] It is much more common in fair-skinned individuals with a family history of BCC and increases in incidence closer to the equator or at higher altitude. There are approximately 800,000[48] new cases yearly in the United States alone. Up to 30% of White people develop basal-cell carcinomas in their lifetime.[47] In Canada, the most common skin cancer is basal-cell carcinoma (as much as one third of all cancer diagnoses), affecting 1 in 7 individuals over a lifetime.[49]

Most sporadic BCC arises in small numbers on sun-exposed skin of people over age 50, although younger people may also be affected. The development of multiple basal-cell cancer at an early age could be indicative of nevoid basal-cell carcinoma syndrome, also known as Gorlin Syndrome.[50]

Notes

  1. Desmoplastic tricoepithelioma is particularly similar to basal-cell carcinoma.

See also

References

  1. 1 2 3 4 5 6 7 8 9 10 11 12 13 14 15 DE, Elder; D, Massi; RA, Scolyer; R, Willemze (2018). "Basal cell carcinoma". WHO Classification of Skin Tumours. Vol. 11 (4th ed.). Lyon (France): World Health Organization. pp. 26–34. ISBN 978-92-832-2440-2. Archived from the original on 2022-07-11. Retrieved 2022-08-08.
  2. 1 2 3 4 5 6 7 8 9 10 11 12 13 14 15 16 17 18 19 20 21 22 23 24 25 26 James, William D.; Elston, Dirk; Treat, James R.; Rosenbach, Misha A.; Neuhaus, Isaac (2020). "29. Epidermal nevi, neoplasms, and cysts". Andrews' Diseases of the Skin: Clinical Dermatology (13th ed.). Edinburgh: Elsevier. pp. 648–651. ISBN 978-0-323-54753-6. Archived from the original on 2023-06-30. Retrieved 2023-06-12.
  3. 1 2 3 4 Gandhi SA, Kampp J (November 2015). "Skin Cancer Epidemiology, Detection, and Management". The Medical Clinics of North America. 99 (6): 1323–35. doi:10.1016/j.mcna.2015.06.002. PMID 26476255.
  4. 1 2 3 "Skin Cancer Treatment (PDQ®)". NCI. 11 February 2022. Archived from the original on 5 July 2014. Retrieved 2 July 2017.
  5. 1 2 "Skin Cancer Treatment". National Cancer Institute. 21 June 2017. Archived from the original on 4 July 2017. Retrieved 2 July 2017.
  6. Cakir BÖ, Adamson P, Cingi C (November 2012). "Epidemiology and economic burden of nonmelanoma skin cancer". Facial Plastic Surgery Clinics of North America. 20 (4): 419–22. doi:10.1016/j.fsc.2012.07.004. PMID 23084294.
  7. Dubas LE, Ingraffea A (February 2013). "Nonmelanoma skin cancer". Facial Plastic Surgery Clinics of North America. 21 (1): 43–53. doi:10.1016/j.fsc.2012.10.003. PMID 23369588.
  8. 1 2 "Genetics of Skin Cancer". National Cancer Institute. 2009-07-29. Archived from the original on 2019-04-09. Retrieved 2019-05-06.
  9. Laffay L, Depaepe L, d'Hombres A, Balme B, Thomas L, De Bari B (2012). "Histological features and treatment approach of trichoblastic carcinomas: from a case report to a review of the literature". Tumori. 98 (2): 46e–49e. doi:10.1700/1088.11948. PMID 22678003.
  10. Ackerman AB, Kerl H, Sánchez J, Guo Y (2000). "Basal-cell carcinoma: integration unifying concept". A clinical atlas of 101 common skin diseases : with histopathologic correlation. New York: Ardor Scribendi. ISBN 978-1-893357-10-5.
  11. Fusco N, Lopez G, Gianelli U (September 2015). "Basal-Cell Carcinoma and Seborrheic Keratosis: When Opposites Attract". International Journal of Surgical Pathology. 23 (6): 464. doi:10.1177/1066896915593802. PMID 26135529. S2CID 206650583.
  12. Epstein EH, Shepard JA, Flotte TJ (January 2008). "Case records of the Massachusetts General Hospital. Case 3-2008. An 80-year-old woman with cutaneous basal-cell carcinomas and cysts of the jaws". The New England Journal of Medicine. 358 (4): 393–401. doi:10.1056/NEJMcpc0707893. PMID 18216361.
  13. "What Is Basal Cell Cancer". SkinCancerGuide. Archived from the original on 2009-03-01. Retrieved 2009-02-18.
  14. Ferrante di Ruffano L, Dinnes J, Chuchu N, Bayliss SE, Takwoingi Y, Davenport C, et al. (December 2018). "Exfoliative cytology for diagnosing basal cell carcinoma and other skin cancers in adults". The Cochrane Database of Systematic Reviews. 12: CD013187. doi:10.1002/14651858.cd013187. PMC 6517175. PMID 30521689.
  15. Robert S Bader. "Which histologic findings are characteristic of basal cell carcinoma (BCC)?". Medscape. Archived from the original on 2019-09-25. Retrieved 2019-09-25. Updated: Feb 21, 2019
  16. 1 2 Sunjaya, Anthony Paulo; Sunjaya, Angela Felicia; Tan, Sukmawati Tansil (2017). "The Use of BEREP4 Immunohistochemistry Staining for Detection of Basal Cell Carcinoma". Journal of Skin Cancer. 2017: 1–10. doi:10.1155/2017/2692604. ISSN 2090-2905. PMC 5804366. PMID 29464122.
  17. 1 2 3 4 5 Initially copied from: Paolino, Giovanni; Donati, Michele; Didona, Dario; Mercuri, Santo; Cantisani, Carmen (2017). "Histology of Non-Melanoma Skin Cancers: An Update". Biomedicines. 5 (4): 71. doi:10.3390/biomedicines5040071. ISSN 2227-9059. PMC 5744095. PMID 29261131.
  18. Robert S Bader. "Which histologic findings are characteristic of basal cell carcinoma (BCC)?". Medscape. Archived from the original on 2019-09-25. Retrieved 2019-09-25. Updated: Feb 21, 2019
  19. 1 2 3 4 5 6 7 Freedberg, et al. (2003). Fitzpatrick's Dermatology in General Medicine. (6th ed.). McGraw-Hill. ISBN 0-07-138076-0.
  20. East, Ellen; Fullen, Douglas R.; Arps, David; Patel, Rajiv M.; Palanisamy, Nallasivam; Carskadon, Shannon; Harms, Paul W. (2016). "Morpheaform Basal Cell Carcinomas With Areas of Predominantly Single-Cell Pattern of Infiltration". The American Journal of Dermatopathology. 38 (10): 744–50. doi:10.1097/DAD.0000000000000541. ISSN 0193-1091. PMID 27043336. S2CID 44948030.
  21. Haddock ES, Cohen PR (September 2016). "Fibroepithelioma of Pinkus Revisited". Dermatology and Therapy. 6 (3): 347–62. doi:10.1007/s13555-016-0123-8. PMC 4972729. PMID 27329375.
  22. From the "Glas classification" or "Sabbatsberg classification": Krynitz, B.; Olsson, H.; Lundh Rozell, B.; Lindelöf, B.; Edgren, G.; Smedby, K.E. (2016). "Risk of basal cell carcinoma in Swedish organ transplant recipients: a population-based study". British Journal of Dermatology. 174 (1): 95–103. doi:10.1111/bjd.14153. ISSN 0007-0963. PMID 26333521. S2CID 43844922.
  23. Yonan, Yousif; Maly, Connor; DiCaudo, David; Mangold, Aaron; Pittelkow, Mark; Swanson, David (2019). "Dermoscopic Description of Fibroepithelioma of Pinkus with Negative Network". Dermatology Practical & Conceptual. 9 (3): 246–47. doi:10.5826/dpc.0903a23. ISSN 2160-9381. PMC 6659602. PMID 31384511. Creative Commons Attribution License
  24. Inskip, Mike; Magee, Jill (2015). "Microcystic adnexal carcinoma of the cheek – a case report with dermatoscopy and dermatopathology". Dermatology Practical & Conceptual. 5 (1). doi:10.5826/dpc.0501a07. ISSN 2160-9381. PMC 4325690. PMID 25692080.
  25. Sánchez G, Nova J, Rodriguez-Hernandez AE, Medina RD, Solorzano-Restrepo C, Gonzalez J, Olmos M, Godfrey K, Arevalo-Rodriguez I (July 2016). "Sun protection for preventing basal-cell and squamous cell skin cancers". The Cochrane Database of Systematic Reviews. 7: CD011161. doi:10.1002/14651858.CD011161.pub2. PMC 6457780. PMID 27455163.
  26. Weinstock MA, Thwin SS, Siegel JA, Marcolivio K, Means AD, Leader NF, Shaw FM, Hogan D, Eilers D, Swetter SM, Chen SC, Jacob SE, Warshaw EM, Stricklin GP, Dellavalle RP, Sidhu-Malik N, Konnikov N, Werth VP, Keri JE, Robinson-Bostom L, Ringer RJ, Lew RA, Ferguson R, DiGiovanna JJ, Huang GD (February 2018). "Chemoprevention of Basal and Squamous Cell Carcinoma With a Single Course of Fluorouracil, 5%, Cream: A Randomized Clinical Trial". JAMA Dermatology. 154 (2): 167–74. doi:10.1001/jamadermatol.2017.3631. PMC 5839275. PMID 29299592.
  27. Sigurdsson H, Agnarsson BA (August 1998). "Basal cell carcinoma of the eyelid. Risk of recurrence according to adequacy of surgical margins". Acta Ophthalmologica Scandinavica. 76 (4): 477–80. doi:10.1034/j.1600-0420.1998.760416.x. PMID 9716337.
  28. Farhi D, Dupin N, Palangié A, Carlotti A, Avril MF (October 2007). "Incomplete excision of basal cell carcinoma: rate and associated factors among 362 consecutive cases". Dermatologic Surgery. 33 (10): 1207–14. doi:10.1111/j.1524-4725.2007.33255.x. PMID 17903153. S2CID 19202086.
  29. 1 2 Narayanan K, Hadid OH, Barnes EA (December 2014). "Mohs micrographic surgery versus surgical excision for periocular basal-cell carcinoma". The Cochrane Database of Systematic Reviews (12): CD007041. doi:10.1002/14651858.CD007041.pub4. PMC 7390281. PMID 25503105.
  30. 1 2 3 Basal Cell and Squamous Cell Skin Cancers (PDF). NCCN Clinical Practice Guidelines in Oncology. National Comprehensive Cancer Network. 2009. Archived from the original (PDF) on 2009-02-27.
  31. Dhingra N, Gajdasty A, Neal JW, Mukherjee AN, Lane CM (June 2007). "Confident complete excision of lid-margin BCCs using a marginal strip: an alternative to Mohs' surgery". The British Journal of Ophthalmology. 91 (6): 794–96. doi:10.1136/bjo.2006.109892. PMC 1955612. PMID 17229804.
  32. 1 2 Bentkover SH, Grande DM, Soto H, Kozlicak BA, Guillaume D, Girouard S (2002). "Excision of head and neck basal-cell carcinoma with a rapid, cross-sectional, frozen-section technique". Archives of Facial Plastic Surgery. 4 (2): 114–19. doi:10.1001/archfaci.4.2.114. PMID 12020207.
  33. Minton TJ (August 2008). "Contemporary Mohs surgery applications". Current Opinion in Otolaryngology & Head and Neck Surgery. 16 (4): 376–80. doi:10.1097/MOO.0b013e3283079cac. PMID 18626258. S2CID 10668953.
  34. Grzybicki DM, Geisinger KR, Silverman JF, Dabbs DJ, Brewer N, Raab SS (2000). "Physician perceptions and expectations of cytology and surgical pathology turn around time (TAT)". Association for Health Services Research Meeting. Los Angeles. Archived from the original on 2008-10-10. Retrieved 2009-02-18.
  35. Lane JE, Kent DE (2005). "Surgical margins in the treatment of nonmelanoma skin cancer and mohs micrographic surgery". Current Surgery. 62 (5): 518–26. doi:10.1016/j.cursur.2005.01.003. PMID 16125611.
  36. Maloney ME, Torres A, Hoffman TJ (1999). Surgical Dermatopathology. Cambridge, MA: Blackwell Publishers. p. 113. ISBN 978-0-86542-299-5.
  37. 1 2 Bath-Hextall FJ, Perkins W, Bong J, Williams HC (January 2007). "Interventions for basal cell carcinoma of the skin". The Cochrane Database of Systematic Reviews (1): CD003412. doi:10.1002/14651858.CD003412.pub2. PMID 17253489.
  38. 1 2 3 4 5 6 7 Telfer NR, Colver GB, Morton CA (July 2008). "Guidelines for the management of basal-cell carcinoma". The British Journal of Dermatology. 159 (1): 35–48. doi:10.1111/j.1365-2133.2008.08666.x. PMID 18593385. S2CID 12365983.
  39. Kokoszka A, Scheinfeld N (June 2003). "Evidence-based review of the use of cryosurgery in treatment of basal-cell carcinoma". Dermatologic Surgery. 29 (6): 566–71. doi:10.1046/j.1524-4725.2003.291511.x. PMID 12786697.
  40. "Understanding Actinic Keratosis – Treatment". Web MD. Archived from the original on 2007-08-11. Retrieved 2008-12-05.
  41. Barlow JO, Zalla MJ, Kyle A, DiCaudo DJ, Lim KK, Yiannias JA (June 2006). "Treatment of basal cell carcinoma with curettage alone". Journal of the American Academy of Dermatology. 54 (6): 1039–45. doi:10.1016/j.jaad.2006.01.041. PMID 16713459.
  42. Archived 2009-05-20 at the Wayback Machine
  43. Butler DF, Parekh PK, Lenis A (January 2009). "Imiquimod 5% cream as adjunctive therapy for primary, solitary, nodular nasal basal-cell carcinomas before Mohs micrographic surgery: a randomized, double blind, vehicle-controlled study". Dermatologic Surgery. 35 (1): 24–29. doi:10.1111/j.1524-4725.2008.34378.x. PMID 19018814. S2CID 45091789.
  44. "Peplin's skin cancer gel trial a success". The Age. Melbourne. 1 May 2006. Archived from the original on 16 June 2006.
  45. Peplin Archived June 14, 2008, at the Wayback Machine
  46. Peng Q, Juzeniene A, Chen J, Svaasand LO, Warloe T, Giercksky K, Moan J (2008). "Lasers in medicine". Reports on Progress in Physics. 71 (5): 056701. doi:10.1088/0034-4885/71/5/056701.
  47. 1 2 Wong CS, Strange RC, Lear JT (October 2003). "Basal cell carcinoma". BMJ. 327 (7418): 794–98. doi:10.1136/bmj.327.7418.794. PMC 214105. PMID 14525881.
  48. Skin Cancer Foundation: Basal-Cell Carcinoma Archived 2006-06-19 at the Wayback Machine
  49. "Epidemiology of Skin Cancer". BC Cancer Agency. Archived from the original on 2011-05-14. Retrieved 2011-06-25.
  50. Gorlin, Robert J (2008). "Nevoid Basal Cell Carcinoma (Gorlin) Syndrome". Neurocutaneous Disorders Phakomatoses and Hamartoneoplastic Syndromes. pp. 669–94. doi:10.1007/978-3-211-69500-5_45. ISBN 978-3-211-21396-4.
Classification
External resources
This article is issued from Wmcloud. The text is licensed under Creative Commons - Attribution - Sharealike. Additional terms may apply for the media files.