Duret haemorrhages
| Duret haemorrhages | |
|---|---|
![]() | |
| Brainstem | |
Duret haemorrhages are small linear areas of bleeding in the midbrain and upper pons of the brainstem. They are caused by a traumatic downward displacement of the brainstem.[1]
They are named after Henri Duret.
Signs and symptoms
In terms of clinical presentation, since this is usually due to trauma, the individual may present a range from confusion to comatose state [2].
Causes
Duret haemorrhages are named after Henri Duret,[3] who discovered these brainstem lesions in dogs with increased intracranial pressure.[4] They are small linear areas of bleeding in the midbrain and upper pons of the brainstem.
They are caused by a traumatic downward displacement of the brainstem with parahippocampal gyrus herniation through the tentorial notch.[5] or acute hematoma, edema following trauma, abscess, or tumor.
Pathogenesis
Duret haemorrhages are haemorrhages secondary to raised intracranial pressure with formation of a transtentorial pressure cone involving the front part of the cerebral peduncles, the cerebral crura. Increased pressure above the tentorium may also involve other midbrain structures.
Kernohan's notch is a groove in the cerebral peduncle which may be caused by this displacement of the brainstem against the tentorial incisure. The resulting ipsilateral hemiparesis is a false localising sign,[6] known as the Kernohan-Woltman syndrome.[7] This may succeed or accompany temporal lobe (uncal) herniation and subfalcian herniation secondary to a supratentorial mass.
The pathophysiological mechanism is uncertain[8] but is probably caused by the displacement of the brainstem stretching and tearing perforating branches of the basilar artery to the pons; venous infarction may play a role.
Diagnosis

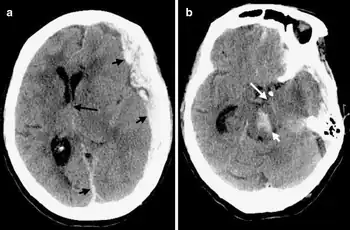
Duret haemorrhages can be demonstrated by medical imaging techniques of CT or MRI though difficult.[9]
Treatment
In terms of management for Duret hemorrhages we find the following is done:[2]
- Osmotherapy
- Dexamethasone(brain tumors and associated vasogenic edema)
- Surgical intervention
Prognosis
Duret haemorrhages usually indicate a fatal outcome.[10] However, survival has been reported.[11][12]
Society and culture
George Gershwin died after emergency surgery of a large brain tumour, believed to have been a glioblastoma. The fact that he had suddenly collapsed and become comatose when he stood up on his last day of life, has been interpreted as brain herniation and Duret haemorrhages.[13]
References
- ↑ Dorland's (2012). Dorland's Illustrated Medical Dictionary (32nd ed.). Elsevier. p. 824. ISBN 978-1-4160-6257-8.
- 1 2 Gogia, Bhanu; Bhardwaj, Anish (2022). "Duret Hemorrhages". StatPearls. StatPearls Publishing. Archived from the original on 13 September 2022. Retrieved 12 September 2022.
- ↑ Duret RL (April 1955). "[A rare and little known hemorrhagic syndrome.]". Brux Med (in français). 35 (16): 797–800. PMID 14378705.
- ↑ "Duret haemorrhage - Neurosurgical lexicon". Archived from the original on 2022-04-06. Retrieved 2022-03-01.
- ↑ Dorland's (2012). Dorland's Illustrated Medical Dictionary (32nd ed.). Elsevier. p. 824. ISBN 978-1-4160-6257-8.
- ↑ Collier, J. The false localizing signs of intracranial tumour. Brain 27:490-508, 1904.
- ↑ J. W. Kernohan JW, Woltman HW. Incisura of the crus due to contralateral brain tumor. Archives of Neurology and Psychiatry, Chicago, 1929, 21: 274–287.
- ↑ Fisher CM (May 1995). "Brain herniation: a revision of classical concepts". Can J Neurol Sci. 22 (2): 83–91. doi:10.1017/S0317167100040142. PMID 7627921.
- ↑ Marupaka SK, Sood B (April 2008). "Atypical Duret haemorrhages seen on computed tomography". Emerg Med Australas. 20 (2): 180–2. doi:10.1111/j.1742-6723.2008.01072.x. PMID 18377408.
- ↑ Parizel PM, Makkat S, Jorens PG, et al. (January 2002). "Brainstem hemorrhage in descending transtentorial herniation (Duret hemorrhage)". Intensive Care Med. 28 (1): 85–8. doi:10.1007/s00134-001-1160-y. PMID 11819006.
- ↑ Fujimoto Y, Aguiar PH, Freitas AB, de Andrade AF, Marino Júnior R (October 2000). "Recovery from Duret hemorrhage: a rare complication after craniotomy--case report". Neurol. Med. Chir. (Tokyo). 40 (10): 508–10. doi:10.2176/nmc.40.508. PMID 11098635.
- ↑ Kamijo Y, Soma K, Kishita R, Hamanaka S (November 2005). "Duret hemorrhage is not always suggestive of poor prognosis: a case of acute severe hyponatremia". Am J Emerg Med. 23 (7): 908–10. doi:10.1016/j.ajem.2005.07.014. PMID 16291454.
- ↑ Takahiro Mezaki, Gershwin's death and Duret haemorrhage Archived 2022-04-06 at the Wayback Machine NEJM, 12 August 2017
External links
- Images of Duret Hemorrhage from MedPix
