Empyema
| Empyema | |
|---|---|
![]() | |
| Progression of empyema | |
| Pronunciation |
|
| Specialty | Pulmonology, Infectious disease |
An empyema is a collection of pus within a naturally existing anatomical cavity. For example, pleural empyema is empyema of the pleural cavity. It must be differentiated from an abscess, which is a collection of pus in a newly formed cavity. The term is from Greek ἐμπύημα, "abscess".
Classification
Empyema occurs in:
- the pleural cavity (pleural empyema also known as pyothorax)[1]
- the thoracic cavity
- the uterus (pyometra)
- the appendix (appendicitis)
- the meninges (subdural empyema)[2]
- the joints (septic arthritis)
- the gallbladder[3]
Diagnosis
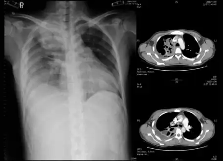
Lungs


Empyema
Empyema with abscess
Gallbladder
Contrast enhanced computed tomography of the abdomen is showing gall bladder empyema with perforation and formation of liver abscess.
Treatment
Empyema tube
History

Ww1 empyema
Referencs
- ↑ Garvia, Veronica; Paul, Manju (2022). "Empyema". StatPearls. StatPearls Publishing. PMID 29083780. Archived from the original on 2023-01-12. Retrieved 2023-01-09.
- ↑ "Subdural Empyema: Practice Essentials, Background, Pathophysiology". 28 October 2022. Archived from the original on 19 November 2022. Retrieved 9 January 2023.
- ↑ Kashyap, Sarang; Mathew, George; King, Kevin C. (2022). "Gallbladder Empyema". StatPearls. StatPearls Publishing. Archived from the original on 2021-11-09. Retrieved 2023-01-09.
Further reading
- Shen, K. Robert; Bribriesco, Alejandro; Crabtree, Traves; Denlinger, Chad; Eby, Joshua; Eiken, Patrick; Jones, David R.; Keshavjee, Shaf; Maldonado, Fabien; Paul, Subroto; Kozower, Benjamin (February 2017). "The American Association for Thoracic Surgery consensus guidelines for the management of empyema". The Journal of Thoracic and Cardiovascular Surgery. 153 (6): e129–e146. doi:10.1016/j.jtcvs.2017.01.030. PMID 28274565.
External links
| Classification | |
|---|---|
| External resources |
This article is issued from Wmcloud. The text is licensed under Creative Commons - Attribution - Sharealike. Additional terms may apply for the media files.
