Hemicrania continua

Hemicrania continua

Hemicrania continua (HC) is a persistent unilateral headache that responds to indomethacin. It is usually unremitting, but rare cases of remission have been documented.[1] Hemicrania continua is considered a primary headache disorder, meaning that it is not caused by another condition.

Symptoms and signs

In addition to persistent daily headache of HC, which is usually mild to moderate (and frequently severe), HC can present other symptoms.[2] These additional symptoms of HC can be divided into three main categories:

  1. Autonomic symptoms:
    • conjunctival injection
    • tearing
    • rhinorrhea
    • nasal stuffiness
    • eyelid edema
    • forehead sweating
  2. Stabbing headaches:
    • Short, "jabbing" headaches superimposed over the persistent daily headache.
    • Usually lasting less than one minute.
  3. Migrainous features:
    • throbbing pain
    • nausea and/or vomiting
    • phonophobia
    • photophobia

Cause

The cause of hemicrania continua is unknown.

Diagnosis

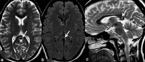
MRI with a) hemicrania continua, showing semilunar hyperintensity, b) fluid attenuated inversion recovery images, c) with a focal hyperintensity on sagittal T2-weighted image

The following diagnostic criteria are given for hemicrania continua:[3]

  1. Headache for more than 3 months fulfilling other 3 criteria:
  2. All of the following characteristics:
    • Unilateral pain without side-shift
    • Daily and continuous, without pain-free periods
    • Moderate intensity, but with exacerbations of severe pain
  3. At least one of the following autonomic features occurs during exacerbations and ipsilateral to the side of pain:
  4. Complete response to therapeutic doses of indomethacin, although cases of hemicrania continua that do not resolve with indomethacin treatment have been documented.[4]

A variant on hemicrania continua has also been described, in which the attacks may shift sides, although meeting the above criteria in all other respects.[5][6][7][8]

There is no definitive diagnostic test for hemicrania continua. Diagnostic tests such as imaging studies may be ordered to rule out other causes for the headache. When the symptoms of hemicrania continua are present, it's considered "diagnostic" if they respond completely to indomethacin. The efficacy of indomethacin may not be long term for all patients, as can eventually become ineffective.

Differential diagnosis

The factor that allows hemicrania continua and its exacerbations to be differentiated from migraine and cluster headache is that hemicrania continua is completely responsive to indomethacin. Triptans and other abortive medications do not affect hemicrania continua.

Classification

The International Headache Society's International Classification of Headache Disorders classifies hemicrania continua as a primary headache disorder.[3]

Treatment

Hemicrania continua generally responds only to indomethacin 25–300 mg daily, which must be continued long term. Unfortunately, gastrointestinal side effects are a common problem with indomethacin, which may require additional acid-suppression therapy to control.[9]

In patients who are unable to tolerate indomethacin, the use of celecoxib 400–800 mg per day (Celebrex) and rofecoxib 50 mg per day (Vioxx - no longer available) have both been shown to be effective and are likely to be associated with fewer GI side effects.[10] There have also been reports of two patients who were successfully managed with topiramate 100–200 mg per day (Topamax) although side effects with this treatment can also prove problematic.[8][11]

Greater occipital nerve (GON) block comprising 40 mg Depomedrone and 10 mls of 1% Lignocaine injected into the affected nerve is effective, up to a period of approximately three months. Changing the 'cocktail' to include (for example) 10 mls of .5% Marcaine and changing to 2% Lignocaine, whilst in theory should increase the longevity, renders the injection completely ineffective. See 4.2 Posology and method of administration (flocculation).[12][13]

Occipital nerve stimulation may be highly effective when other treatments fail to relieve the intractable pain.[14]

Epidemiology

Hemicrania was mentioned in 1881 in The Therapeutic Gazette Vol. 2, by G.S.Davis,[15] and the incident has been cited in King's American Dispensatory (1898 and later editions)[16] in the description of the strong analgesic Jamaican Dogwood, a relatively low dose of which reportedly produced convulsions and prolonged respiratory depression over six hours in an elderly woman with this condition.

In newer times, Hemicrania continua was described in 1981;[17] at that time around 130 cases were described in the literature.[17] However, rising awareness of the condition has led to increasingly frequent diagnosis in headache clinics, and it seems that it is not as rare as these figures would imply. The condition occurs more often in women than men and tends to present first in adulthood, although it has also been reported in children as young as 5 years old.[18]

References

  1. Mark Thompson, "Hemicrania Continua" Archived 2017-07-27 at the Wayback Machine
  2. Goadsby P, Silberstein S, Dodick D (205). Chronic Daily Headache for clinicians. B C Decker Inc. p. 220. ISBN 978-1-55009-265-3.
  3. 1 2 "The International Classification of Headache Disorders 2nd Edition (ICHD-2)" (PDF). the Headache Classification Subcommittee of the International Headache Society. Archived (PDF) from the original on 2012-03-11. Retrieved 2012-09-22.
  4. Prakash, S; Shah, N. D.; Bhanvadia, R. J. (2009). "Hemicrania continua unresponsive or partially responsive to indomethacin: Does it exist? A diagnostic and therapeutic dilemma". The Journal of Headache and Pain. 10 (1): 59–63. doi:10.1007/s10194-008-0088-9. PMC 3451756. PMID 19096758.
  5. Newman LC, Lipton RB, Russell M, Solomon S (1992). "Hemicrania continua: attacks may alternate sides". Headache. 32 (5): 237–8. doi:10.1111/j.1526-4610.1992.hed3205237.x. PMID 1628961. S2CID 46389851.
  6. Marano E, Giampiero V, Gennaro DR, di Stasio E, Bonusa S, Sorge F (1994). ""Hemicrania continua": a possible case with alternating sides". Cephalalgia. 14 (4): 307–8. doi:10.1046/j.1468-2982.1994.1404305-4.x. PMID 7954766. S2CID 35544600.
  7. Newman LC, Spears RC, Lay CL (2004). "Hemicrania continua: a third case in which attacks alternate sides". Headache. 44 (8): 821–3. doi:10.1111/j.1526-4610.2004.04153.x. PMID 15330832. S2CID 5700850.
  8. 1 2 Matharu MS, Bradbury P, Swash M (2006). "Hemicrania continua: side alternation and response to topiramate". Cephalalgia. 26 (3): 341–4. doi:10.1111/j.1468-2982.2005.01034.x. PMID 16472344. S2CID 2742969.
  9. Pareja JA, Caminero AB, Franco E, Casado JL, Pascual J, Sánchez del Río M (2001). "Dose, efficacy and tolerability of long-term indomethacin treatment of chronic paroxysmal hemicrania and hemicrania continua". Cephalalgia: An International Journal of Headache. 21 (9): 906–10. doi:10.1046/j.1468-2982.2001.00287.x. PMID 11903285. S2CID 38030404.
  10. Peres MF, Silberstein SD (2002). "Hemicrania continua responds to cyclooxygenase-2 inhibitors". Headache. 42 (6): 530–1. doi:10.1046/j.1526-4610.2002.02131.x. PMID 12167145. S2CID 30886689.
  11. Brighina F, Palermo A, Cosentino G, Fierro B (2007). "Prophylaxis of hemicrania continua: two new cases effectively treated with topiramate". Headache. 47 (3): 441–3. doi:10.1111/j.1526-4610.2007.00733.x. PMID 17371364. S2CID 42942792.
  12. "DEPO-MEDRONE WITH LIDOCAINE INJECTION" (PDF). Archived (PDF) from the original on 2018-03-19. Retrieved 2021-10-23.
  13. Blumenfeld, Andrew; Ashkenazi, Avi; Napchan, Uri; Bender, Steven D.; Klein, Brad C.; Berliner, Randall; Ailani, Jessica; Schim, Jack; Friedman, Deborah I.; Charleston, Larry; Young, William B.; Robertson, Carrie E.; Dodick, David W.; Silberstein, Stephen D.; Robbins, Matthew S. (1 March 2013). "Expert Consensus Recommendations for the Performance of Peripheral Nerve Blocks for Headaches – A Narrative Review". Headache: The Journal of Head and Face Pain. 53 (3): 437–446. doi:10.1111/head.12053. PMID 23406160.
  14. "- MDedge - Neurology Reviews". www.neurologyreviews.com. Archived from the original on 2022-09-26. Retrieved 2021-10-23.
  15. Davis, G.S. (1881). The Therapeutic Gazette, Volume 2. p. 54.
  16. King; Felter; Lloyd, John; Harvey Wickes; John Uri (1898). King's American Dispensatory. Cincinnati: Ohio Valley Co. p. 1511.{{cite book}}: CS1 maint: multiple names: authors list (link)
  17. 1 2 Medina JL, Diamond S (1981). "Cluster headache variant. Spectrum of a new headache syndrome". Arch. Neurol. 38 (11): 705–9. doi:10.1001/archneur.1981.00510110065010. PMID 7305699.
  18. Peres MF, Silberstein SD, Nahmias S, et al. (2001). "Hemicrania continua is not that rare". Neurology. 57 (6): 948–51. doi:10.1212/wnl.57.6.948. PMID 11577748. S2CID 21921810.
Classification
This article is issued from Wmcloud. The text is licensed under Creative Commons - Attribution - Sharealike. Additional terms may apply for the media files.