Herpes meningitis
| Herpes meningitis | |
|---|---|
![]() | |
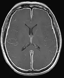
| T1W MRI of the brain demonstrating leptomeningeal enhancement consistent with meningitis | |
| Specialty | Infectious disease, Neurology |
| Symptoms | Headache, fever, neck stiffness, photophobia |
| Causes | Viruses of the herpesviridae family |
| Diagnostic method | CSF findings, lumbar puncture |
| Differential diagnosis | Bacterial meningitis, viral meningitis, fungal meningitis, drug-induced meningitis, CNS abscess, vasculitis |
| Treatment | Symptom management, antivirals |
Herpes meningitis is inflammation of the meninges, the protective tissues surrounding the spinal cord and brain,[1] due to infection from viruses of the Herpesviridae family[2] - the most common amongst adults is HSV-2.[3] Symptoms are self-limiting over 2 weeks[4] with severe headache, nausea, vomiting, neck-stiffness, and photophobia.[5] Herpes meningitis can cause Mollaret's meningitis, a form of recurrent meningitis.[6] Lumbar puncture with cerebrospinal fluid results demonstrating aseptic meningitis pattern is necessary for diagnosis and polymerase chain reaction is used to detect viral presence.[4] Although symptoms are self-limiting, treatment with antiviral medication may be recommended to prevent progression to Herpes Meningoencephalitis.[7]
Epidemiology
Aseptic meningitis, meningitis caused by pathogens other than bacteria, is the most common form of meningitis with an estimate of 70 cases per 100,000 patients less than 1 year old, 5.2 cases per 100,000 patients 1 to 14 years of age, and 7.6 cases per 100,000 adults. When looking at the most common causes of meningitis, 8.3% are due to herpes simplex virus.[8] HSV-2 specifically is the most common cause of meningitis in adults.[6]
Herpesviral meningitis primarily affects people aged 35-40, the elderly, and women.[9] Between 20% and 50% of cases have clinical recurrences.[3]
Clinical presentation
Common symptoms include nausea, vomiting, neck-stiffness, photophobia, and severe frontal headaches.[5] Patients with meningitis secondary to the HSV-2 virus may also present with genital lesions, although most cases of HSV-2 meningitis occur without symptoms of genital herpes.[10][11] Around one fifth of people infected with HSV-2 have symptoms of meningitis with their initial infection, more commonly men than women.[12]
Mollaret's Meningitis
HSV-2 is the most common cause of Mollaret's meningitis, a type of recurrent viral meningitis.[6] This condition was first described in 1944 by French neurologist Pierre Mollaret. Recurrences usually last a few days or a few weeks, and resolve without treatment. They may recur weekly or monthly for approximately 5 years following primary infection.[13]
Diagnosis
Differential diagnoses are broad including other causes of meningitis (bacterial, fungal, drug-induced), systemic infection, vasculitis, auto-immune disease, and cancer.[14] As such, patient presentation of fever, headache, stiff neck, and altered mental status is not sufficient information for diagnosis and lumbar puncture must be performed to properly diagnose meningitis.[4] Cerebrospinal fluid findings in herpes meningitis present with lymphocytic pleocytosis, normal glucose, and normal-to-elevated protein.[8]
DNA analysis techniques such as polymerase chain reaction is the gold standard for detection of herpes virus in patient CSF fluid due to high specificity[4] and has been able to detect the HSV-2 virus in patients presenting without genital lesions as well as those experiencing recurrent meningitis.[14]
Treatment
Although guidelines strongly recommend acyclovir for treatment of herpes encephalitis, there are currently no such guidelines for managing herpes meningitis.[15] Herpes meningitis is typically self-limiting over 2 weeks without treatment. However, empirical use of antiviral medications such as acyclovir are considered in cases of suspected HSV meningitis to prevent progression to the more rapid and fatal HSV meningoencephalitis.[7]
HSV-2 is the most common herpes virus that causes meningitis.[3] This virus is transmitted via sexual contact and there are currently no vaccinations or cures for the disease. At the moment, there are no specific programs developed to prevent HSV-2 spread and prevention of disease is primarily done via behavioral modification via condom use or through application of antiviral medications upon infection.[16]
See also
References
- ↑ Kohil, Amira; Jemmieh, Sara; Smatti, Maria K.; Yassine, Hadi M. (February 2021). "Viral meningitis: an overview". Archives of Virology. 166 (2): 335–345. doi:10.1007/s00705-020-04891-1. ISSN 0304-8608. PMC 7779091. PMID 33392820.
- ↑ Spear, Patricia G.; Longnecker, Richard (October 2003). "Herpesvirus Entry: an Update". Journal of Virology. 77 (19): 10179–10185. doi:10.1128/JVI.77.19.10179-10185.2003. ISSN 0022-538X. PMC 228481. PMID 12970403.
- 1 2 3 Logan, Sarah A E; MacMahon, Eithne (January 5, 2008). "Viral meningitis". BMJ. 336 (7634): 36–40. doi:10.1136/bmj.39409.673657.AE. ISSN 0959-8138. PMC 2174764. PMID 18174598.
- 1 2 3 4 Carter, Emma; McGill, Fiona (September 2022). "The management of acute meningitis: an update". Clinical Medicine. 22 (5): 396–400. doi:10.7861/clinmed.2022-cme-meningitis. ISSN 1470-2118. PMC 9594998. PMID 36507811.
- 1 2 Gundamraj, Vaishnavi; Hasbun, Rodrigo (June 2023). "Viral meningitis and encephalitis: an update". Current Opinion in Infectious Diseases. 36 (3): 177–185. doi:10.1097/QCO.0000000000000922. ISSN 0951-7375. PMID 37093042. S2CID 258299272.
- 1 2 3 Tyler KL (2004). "Herpes simplex virus infections of the central nervous system: encephalitis and meningitis, including Mollaret's". Herpes. 11. Suppl 2: 57A–64A. PMID 15319091.
- 1 2 Roberts, James R.; Custalow, Catherine B.; Thomsen, Todd W., eds. (2019). Roberts and Hedges' clinical procedures in emergency medicine (Seventh ed.). Philadelphia: Elsevier. ISBN 978-0-323-35478-3.
- 1 2 Mount, Hillary R.; Boyle, Sean D. (September 1, 2017). "Aseptic and Bacterial Meningitis: Evaluation, Treatment, and Prevention". American Family Physician. 96 (5): 314–322. ISSN 1532-0650. PMID 28925647.
- ↑ Rozenberg, Flore (October 2020). "Herpes simplex virus and central nervous system infections: encephalitis, meningitis, myelitis". Virologie. 24 (5): 283–294. doi:10.1684/vir.2020.0862. ISSN 1267-8694.
- ↑ Corey, Lawrence (June 1, 1983). "Genital Herpes Simplex Virus Infections: Clinical Manifestations, Course, and Complications". Annals of Internal Medicine. 98 (6): 958–972. doi:10.7326/0003-4819-98-6-958. ISSN 0003-4819. PMID 6344712.
- ↑ Landry, Marie L.; Greenwold, Jennifer; Vikram, Holenarasipur R. (July 2009). "Herpes Simplex Type-2 Meningitis: Presentation and Lack of Standardized Therapy". The American Journal of Medicine. 122 (7): 688–691. doi:10.1016/j.amjmed.2009.02.017.
- ↑ Rosenberg, Jon; Galen, Benjamin T. (July 2017). "Recurrent Meningitis". Current Pain and Headache Reports. 21 (7). doi:10.1007/s11916-017-0635-7. ISSN 1531-3433.
- ↑ Sendi P, Graber P (2006). "Mollaret's meningitis". CMAJ. 174 (12): 1710. doi:10.1503/cmaj.051688. PMC 1471823. PMID 16754896.
- 1 2 Read, S J; Jeffery, K J; Bangham, C R (1997). "Aseptic meningitis and encephalitis: the role of PCR in the diagnostic laboratory". Journal of Clinical Microbiology. 35 (3): 691–696. doi:10.1128/jcm.35.3.691-696.1997. ISSN 0095-1137. PMC 229652. PMID 9041414.
- ↑ Noska, Amanda; Kyrillos, Ramona; Hansen, Glen; Hirigoyen, Diane; Williams, David N. (January 15, 2015). "The role of antiviral therapy in immunocompromised patients with herpes simplex virus meningitis". Clinical Infectious Diseases: An Official Publication of the Infectious Diseases Society of America. 60 (2): 237–242. doi:10.1093/cid/ciu772. ISSN 1537-6591. PMID 25273082.
- ↑ Ayoub, Houssein H.; Chemaitelly, Hiam; Abu-Raddad, Laith J. (July 8, 2020). "Epidemiological Impact of Novel Preventive and Therapeutic HSV-2 Vaccination in the United States: Mathematical Modeling Analyses". Vaccines. 8 (3): 366. doi:10.3390/vaccines8030366. ISSN 2076-393X. PMC 7564812. PMID 32650385.
