Perforating calcific elastosis
| Perforating calcific elastosis | |
|---|---|
| Other names: Localized acquired cutaneous pseudoxanthoma elasticum, Perforating periumbilical calcific elastosis,[1] and Periumbilical perforating pseudoxanthoma elasticum | |
![]() | |
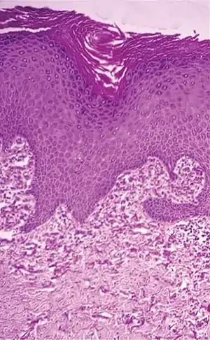
| Histopathology of perforating calcific elastosis: Clumping of short elastic fibers in the dermis.[2] | |
| Specialty | Dermatology |
Perforating calcific elastosis is an acquired, localized cutaneous disorder, most frequently found in obese, multiparous, middle-aged women, characterized by lax, well-circumscribed, reticulated or cobble-stoned plaques occurring in the periumbilical region with keratotic surface papules.[3]

a,b)Perforating calcific elastosis- short elastic fibers in the dermis
See also
References
- ↑ Rapini, Ronald P.; Bolognia, Jean L.; Jorizzo, Joseph L. (2007). Dermatology: 2-Volume Set. St. Louis: Mosby. ISBN 978-1-4160-2999-1.
- ↑ Hosen, Mohammad J.; Lamoen, Anouck; De Paepe, Anne; Vanakker, Olivier M. (2012). "Histopathology of Pseudoxanthoma Elasticum and Related Disorders: Histological Hallmarks and Diagnostic Clues". Scientifica. 2012: 1–15. doi:10.6064/2012/598262. ISSN 2090-908X.
-Creative Commons Attribution 3.0 Unported Archived 2011-02-23 at the Wayback Machine license - ↑ James, William; Berger, Timothy; Elston, Dirk (2005). Andrews' Diseases of the Skin: Clinical Dermatology. (10th ed.). Saunders. Page 512. ISBN 0-7216-2921-0.
This article is issued from Wmcloud. The text is licensed under Creative Commons - Attribution - Sharealike. Additional terms may apply for the media files.
