Pinealoma
| Pinealoma | |
|---|---|
![]() | |
| Pineocytoma | |
| Specialty | Oncology |
| Treatment | Surgical resection, radiation therapy |
A pinealoma is a tumor of the pineal gland, a part of the brain that produces melatonin. If a pinealoma destroys the cells of the pineal gland in a child, it can cause precocious puberty.
Signs and symptoms
The pineal gland produces the hormone melatonin which plays a role in regulating circadian rhythms. A pinealoma may disrupt production of this hormone, and insomnia may result.
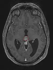
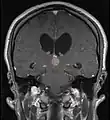
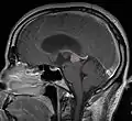
Frequently, paralysis of upward gaze along with several ocular findings such as convergence retraction nystagmus and eyelid retraction also known as Collier's sign and Light Near Dissociation (pupil accommodates but doesn't react to light) are known collectively as Parinaud's syndrome[1] or Dorsal Mid-brain syndrome, are the only physical symptoms seen. This is caused by the compression of the vertical gaze center in the midbrain tectum at the level of the superior colliculus and cranial nerve III. Work-up usually includes Neuro-imaging as seen on the right.
A pinealoma may cause interruption of hypothalamic inhibiting pathways, sometimes leading to beta-hCG secretion and consequent Leydig's cell stimulation (endocrine syndrome).
Other symptoms may include hydrocephalus, gait disturbances, and precocious puberty.
Cause
Pinealomas can be due to proliferation of primary pineocytes (pineocytomas, pineoblastomas), astrocytes (astrocytoma), or germ cells (germinoma).[2] Germinomas are the most common tumor in the pineal gland.
Diagnosis
Treatment
Some pinealomas are treated by radiotherapy, since surgical removal may be impossible due to the location. Radiotherapy can be successful in killing the tumour, and 50% of patients undergoing it survive to old age.
Prognosis
Of the different types of pinealomas, the type with the most favorable prognosis is the pineocytoma.[3]
References
- ↑ Gaspar N, Verschuur A, Mercier G, Couanet D, Sainte-Rose C, Brugières L (September 2003). "Reversible hearing loss associated with a malignant pineal germ cell tumor. Case report". J. Neurosurg. 99 (3): 587–90. doi:10.3171/jns.2003.99.3.0587. PMID 12959450.
- ↑ "eMedicine - Germinoma, Central Nervous System : Article by Daniel D Mais, MD". Retrieved 2007-12-03.
- ↑ Deshmukh VR, Smith KA, Rekate HL, Coons S, Spetzler RF (2004). "Diagnosis and management of pineocytomas". Neurosurgery. 55 (2): 349–55, discussion 355–7. doi:10.1227/01.NEU.0000129479.70696.D2. PMID 15271241.


