Stauffer syndrome
| Stauffer syndrome | |
|---|---|
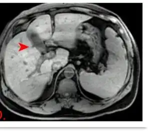
![]() | |
| Hepato-Splenomegaly characteristic of Stauffer syndrome (gallbladder and hepatic biliary ducts not dilated) | |
| Specialty | Hepatology |
Stauffer syndrome is a constellation of signs and symptoms of liver dysfunction that arises due to presence of renal cell carcinoma, and, more rarely, in connection with other malignant neoplasms, though the specific pathogenesis is currently unknown. It is named for Dr. Maurice Stauffer, a gastroenterologist at the Mayo Clinic in Rochester, MN. The hepatic abnormalities are not due to tumor infiltration of the liver or intrinsic liver disease; they instead reflect the presence of a paraneoplastic syndrome.[1]
Stauffer syndrome causes abnormal liver function tests, especially those that reflect the presence of cholestasis, i.e. abnormal bile flow. Hepatosplenomegaly may also be observed. The symptoms and signs resolve if the renal cell carcinoma (or another associated tumor) is successfully ablated. It is due to release of IL-6 from cancerous cell.[1]
Maurice H. Stauffer, M.D., a gastroenterologist at the Mayo Clinic in Rochester, MN, first characterized this syndrome in 1961, with the original name of "nephrogenic hepatomegaly."[2][3]
References
- 1 2 Jakse G, Madersbacher H (1978). "[Stauffer's syndrome. Reversible hepatic dysfunction in renal cell carcinoma (author's transl)]". Wien Klin Wochenschr. 90 (8): 268–70. PMID 636440.
- ↑ Stauffer MH (1961). "Nephrogenic hepatomegaly". Gastroenterology. 40: 694.
- ↑ Morla D, Alazemi S, Lichtstein D (July 2006). "Stauffer's Syndrome Variant with Cholestatic Jaundice A Case Report". J Gen Intern Med. 21 (7): C11–3. doi:10.1111/j.1525-1497.2006.00448.x. PMC 1924715. PMID 16808761.
External links
| Classification |
|---|
