Teratoma

Teratoma
A small (4 cm) dermoid cyst of an ovary, discovered during Cesarean section
SpecialtyGynecology, oncology
SymptomsMinimal, painless lump[1][2]
ComplicationsOvarian torsion, testicular torsion, hydrops fetalis[1][2][3]
TypesMature, immature[4]
CausesUnknown[2]
Diagnostic methodTissue biopsy[2]
Differential diagnosisLipoma, dermoid, myelomeningocele[5]
TreatmentSurgery, chemotherapy[5][6]
Frequency1 in 30,000 newborns (tailbone)[7]

A teratoma is a tumor made up of several different types of tissue, such as hair, muscle, teeth, or bone.[4] They typically form in the ovary, testicle, or tailbone and less commonly in other areas.[4] Symptoms may be minimal if the tumor is small.[2] A testicular teratoma may present as a painless lump.[1] Complications may include ovarian torsion, testicular torsion, or hydrops fetalis.[1][2][3]

They are a type of germ cell tumor (a tumor that begins in the cells that give rise to sperm or eggs).[4][8] They are divided into two types: mature and immature.[4] Mature teratomas include dermoid cysts and are generally benign.[8] Immature teratomas may be cancerous.[4][9] Most ovarian teratomas are mature.[10] In adults, testicular teratomas are generally cancerous.[11] Definitive diagnosis is based on a tissue biopsy.[2]

Treatment of tailbone, testicular, and ovarian teratomas is generally by surgery.[5][6][12] Testicular and immature ovarian teratomas are also frequently treated with chemotherapy.[6][10]

Teratomas occur in the coccyx in about one in 30,000 newborns, making them one of the most common tumors in this age group.[5][7] Females are affected more often than males.[5] Ovarian teratomas represent about a quarter of ovarian tumors and are typically noticed during middle age.[10] Testicular teratomas represent almost half of testicular cancers.[13] They can occur in both children and adults.[14] The term comes from the Greek words for "monster" and "tumor".[15]

Types

Mature teratoma

Ovarian teratoma with hair inside
Mature teratoma of the mediastinum: A horizontal slice of the resected tumor reveals fibrofatty tissue, calcified areas, and a few cystic spaces lined with smooth membrane and containing a hair. In the left lower corner, the involved B5 bronchus is evident.

A mature teratoma is a grade 0 teratoma. They are highly variable in form and histology, and may be solid, cystic, or a combination of the two. A mature teratoma often contains several different types of tissue such as skin, muscle, and bone. Skin may surround a cyst and grow abundant hair (see dermoid cyst). Mature teratomas generally are benign, with 0.17-2% of mature cystic teratomas becoming malignant.[16]

Immature teratoma

Immature teratoma is the malignant counterpart of the mature teratoma and contains immature tissues which typically show primitive or embryonal neuroectodermal histopathology. Immature teratoma has one of the lowest rates of somatic mutation of any tumor type and results from one of five mechanisms of meiotic failure.[17]

Gliomatosis peritoneii

Gliomatosis peritoneii, which presents as a deposition of mature glial cells in the peritoneum, is almost exclusively seen in conjunction with cases of ovarian teratoma. Through genetic studies of exome sequence, it was found that gliomatosis is genetically identical to the parent ovarian tumor and developed from cells that disseminate from the ovarian teratoma.[17]

Dermoid cyst

A dermoid cyst is a mature cystic teratoma containing hair (sometimes very abundant) and other structures characteristic of normal skin and other tissues derived from the ectoderm. The term is most often applied to teratoma on the skull sutures and in the ovaries of females.

Fetus in fetu and fetiform teratoma

Fetus in fetu and fetiform teratoma are rare forms of mature teratomas that include one or more components resembling a malformed fetus. Both forms may contain or appear to contain complete organ systems, even major body parts such as a torso or limbs. Fetus in fetu differs from fetiform teratoma in having an apparent spine and bilateral symmetry.[18]

Most authorities agree that fetiform teratomas are highly developed mature teratomas; the natural history of fetus in fetu is controversial.[18] There also may be a cultural difference, with fetiform teratoma being reported more often in ovarian teratomas (by gynecologists) and fetus in fetu being reported more often in retroperitoneal teratomas (by general surgeons). Fetus in fetu has often been interpreted as a fetus growing within its twin. As such, this interpretation assumes a special complication of twinning, one of several grouped under the term parasitic twin. In this regard, in many cases the fetus in fetu is reported to occupy a fluid-filled cyst within a mature teratoma.[19][20][21][22] Cysts within mature teratoma may have partially developed organ systems; reports include cases of partial cranial bones, long bones and a rudimentary beating heart.[23][24]

Regardless of whether fetus in fetu and fetiform teratoma are one entity or two, they are distinct from and not to be confused with ectopic pregnancy.

Struma ovarii

A struma ovarii (literally: goitre of the ovary) is a rare form of mature teratoma that contains mostly thyroid tissue.

Epignathus

Epignathus is a rare teratoma originating in oropharyngeal area that occurs in utero. It presents with a mass protruding from the mouth at birth. Untreated, breathing is impossible. An EXIT procedure is the recommended initial treatment.

Signs and symptoms

Teratomas may be found in babies, children, and adults. Teratomas of embryonal origin are most often found in babies at birth, in young children, and, since the advent of ultrasound imaging, in fetuses.

The most diagnosed fetal teratomas are sacrococcygeal teratoma (Altman types I, II, and III) and cervical (neck) teratoma. Because these teratomas project from the fetal body into the surrounding amniotic fluid, they can be seen during routine prenatal ultrasound exams. Teratomas within the fetal body are less easily seen with ultrasound; for these, MRI of the pregnant uterus is more informative.[25][26]

Complications

Teratomas are not dangerous for the fetus unless either a mass effect occurs or a large amount of blood flows through the tumor (known as vascular steal). The mass effect frequently consists of obstruction of normal passage of fluids from surrounding organs. The vascular steal can place a strain on the growing heart of the fetus, even resulting in heart failure, thus must be monitored by fetal echocardiography.

Teratomas can cause an autoimmune illness called N-methyl-D-aspartate (NMDA) receptor encephalitis. In this condition, the teratomas may contain B cells with NMDA-receptor specificities.[27]

After surgery, a risk exists of regrowth in place, or in nearby organs.[28]

Pathophysiology

Teratomas belong to a class of tumors known as nonseminomatous germ cell tumor. All tumors of this class are the result of abnormal development of pluripotent cells: germ cells and embryonal cells. Teratomas of embryonic origin are congenital; teratomas of germ cell origin may or may not be congenital. The kind of pluripotent cell appears to be unimportant, apart from constraining the location of the teratoma in the body.

Teratomas derived from germ cells occur in the testicle in men and ovaries in women. Teratomas derived from embryonic cells usually occur on the subject's midline: in the brain, elsewhere in the skull, in the nose, in the tongue, under the tongue, and in the neck (cervical teratoma), mediastinum, retroperitoneum, and attached to the coccyx. Teratomas may also occur elsewhere: very rarely in solid organs (most notably the heart and liver) and hollow organs (such as the stomach and bladder), and more commonly on the skull sutures.

Teratoma rarely include more complicated body parts such as teeth, brain matter,[29] eyes,[30][31] or torso.[32]

Hypotheses of origin

Concerning the origin of teratomas, numerous hypotheses exist.[18] These hypotheses are not to be confused with the unrelated hypothesis that fetus in fetu (see below) is not a teratoma at all, but rather a parasitic twin.

Diagnosis

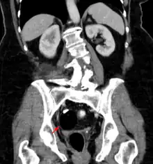
CT showing a teratoma of the ovary: fatty formation with a smooth boundary, with a dense part, possibly a tooth.
Micrograph of a teratoma showing tissue from all three germ layers: mesoderm (immature cartilage - left-upper), endoderm (gastrointestinal glands - center-bottom) and ectoderm (epidermis - right)

Teratomas are thought to originate in utero, so can be considered congenital tumors. Many teratomas are not diagnosed until much later in childhood or in adulthood. Large tumors are more likely to be diagnosed early on. Sacrococcygeal and cervical teratomas are often detected by prenatal ultrasound. Additional diagnostic methods may include prenatal magnetic resonance imaging. In rare circumstances, the tumor is so large that the fetus may be damaged or die. In the case of large sacrococcygeal teratomas, a significant portion of the fetus' blood flow is redirected toward the teratoma (a phenomenon called steal syndrome), causing heart failure, or hydrops, of the fetus. In certain cases, fetal surgery may be indicated.

Beyond the newborn period, symptoms of a teratoma depend on its location and organ of origin. Ovarian teratomas often present with abdominal or pelvic pain, caused by torsion of the ovary or irritation of its ligaments. A recently discovered condition where ovarian teratomas cause encephalitis associated with antibodies against the N-methyl-D-aspartate receptor antibody (NMDAR) - often referred to as "anti-NMDA receptor encephalitis", was identified as a serious complication. Patients develop a multistage illness that progresses from psychosis, memory deficits, seizures, and language disintegration into a state of unresponsiveness with catatonic features often associated with abnormal movements, and autonomic and breathing instability.[33] Testicular teratomas present as a palpable mass in the testis; mediastinal teratomas often cause compression of the lungs or the airways and may present with chest pain and/or respiratory symptoms.

Some teratomas contain yolk sac elements, which secrete alpha-fetoprotein. Its detection may help to confirm the diagnosis and is often used as a marker for recurrence or treatment efficacy, but is rarely the method of initial diagnosis. (Maternal serum alpha-fetoprotein is a useful screening test for other fetal conditions, including Down syndrome, spina bifida, and abdominal wall defects such as gastroschisis.)

Classification

Regardless of location in the body, a teratoma is classified according to a cancer staging system. This indicates whether chemotherapy or radiation therapy may be needed in addition to surgery. Teratomas commonly are classified using the Gonzalez-Crussi[18] grading system: 0 or mature (benign); 1 or immature, probably benign; 2 or immature, possibly malignant (cancerous); and 3 or frankly malignant. If frankly malignant, the tumor is a cancer for which additional cancer staging applies.

Teratomas are also classified by their content; a solid teratoma contains only tissues (perhaps including more complex structures); a cystic teratoma contains only pockets of fluid or semifluid such as cerebrospinal fluid, sebum, or fat; a mixed teratoma contains both solid and cystic parts. Cystic teratomas usually are grade 0 and, conversely, grade 0 teratomas usually are cystic.

Grades 0, 1, and 2 pure teratomas have the potential to become malignant (grade 3), and malignant pure teratomas have the potential to metastasize. These rare forms of teratoma with malignant transformation may contain elements of somatic (not germ cell) malignancy such as leukemia, carcinoma, or sarcoma.[34] A teratoma may contain elements of other germ cell tumors, in which case it is not a pure teratoma, but rather is a mixed germ cell tumor and is malignant. In infants and young children, these elements usually are endodermal sinus tumor, followed by choriocarcinoma. Finally, a teratoma can be pure and not malignant yet highly aggressive; this is exemplified by growing teratoma syndrome, in which chemotherapy eliminates the malignant elements of a mixed tumor, leaving pure teratoma, which paradoxically begins to grow very rapidly.[35]

Malignant transformation

A "benign" grade 0 (mature) teratoma nonetheless has a risk of malignancy. Recurrence with malignant endodermal sinus tumor has been reported in cases of formerly benign mature teratoma,[36][37] even in fetiform teratoma and fetus in fetu.[38][39] Squamous cell carcinoma has been found in a mature cystic teratoma at the time of initial surgery.[40] A grade 1 immature teratoma that appears to be benign (e.g., because AFP is not elevated) has a much higher risk of malignancy, and requires adequate follow-up.[41][42][43][44] This grade of teratoma also may be difficult to diagnose correctly. It can be confused with other small round cell neoplasms such as neuroblastoma, small cell carcinoma of hypercalcemic type, primitive neuroectodermal tumor, Wilm's tumor, desmoplastic small round cell tumor, and non-Hodgkin lymphoma.[45]

A teratoma with malignant transformation is a very rare form of teratoma that may contain elements of somatic malignant tumors such as leukemia, carcinoma, or sarcoma.[34] Of 641 children with pure teratoma, nine developed TMT:[46] five carcinoma, two glioma, and two embryonal carcinoma (here, these last are classified among germ cell tumors).

Extraspinal ependymoma

Extraspinal ependymoma, usually considered to be a glioma (a type of nongerm cell tumor), may be an unusual form of mature teratoma.[47]

Treatment

Surgery

The treatment of choice is complete surgical removal (i.e., complete resection).[48][49] Teratomas are normally well-encapsulated and noninvasive of surrounding tissues, hence they are relatively easy to resect from surrounding tissues. Exceptions include teratomas in the brain, and very large, complex teratomas that have pushed into and become interlaced with adjacent muscles and other structures.

Prevention of recurrence does not require en bloc resection of surrounding tissues.

Chemotherapy

For malignant teratomas, usually, surgery is followed by chemotherapy.

Teratomas that are in surgically inaccessible locations, or are very complex, or are likely to be malignant (due to late discovery and/or treatment) sometimes are treated first with chemotherapy.

Follow-up

Although often described as benign, a teratoma does have malignant potential. In a UK study of 351 infants and children diagnosed with "benign" teratoma reported 227 with MT, 124 with IT. Five years after surgery, event-free survival was 92.2% and 85.9%, respectively, and overall survival was 99% and 95.1%.[50] A similar study in Italy reported on 183 infants and children diagnosed with teratoma. At 10 years after surgery, event-free and overall survival were 90.4% and 98%, respectively.[51]

Depending on which tissue(s) it contains, a teratoma may secrete a variety of chemicals with systemic effects. Some teratomas secrete the "pregnancy hormone" human chorionic gonadotropin (βhCG), which can be used in clinical practice to monitor the successful treatment or relapse in patients with a known HCG-secreting teratoma. This hormone is not recommended as a diagnostic marker, because most teratomas do not secrete it. Some teratomas secrete thyroxine, in some cases to such a degree that it can lead to clinical hyperthyroidism in the patient. Of special concern is the secretion of alpha-fetoprotein (AFP); under some circumstances, AFP can be used as a diagnostic marker specific for the presence of yolk sac cells within the teratoma. These cells can develop into a frankly malignant tumor known as yolk sac tumor or endodermal sinus tumor.

Adequate follow-up requires close observation, involving repeated physical examination, scanning (ultrasound, MRI, or CT), and measurement of AFP and/or βhCG.[52][53]

Epidemiology

Ovarian tumors by incidence and risk of ovarian cancer, with mature cystic teratoma at bottom and immature teratoma at right.[54]

Embryonal teratomas most commonly occur in the sacrococcygeal region; sacrococcygeal teratoma is the single most common tumor found in newborn humans.

Of teratomas on the skull sutures, about 50% are found in or adjacent to the orbit.[55] Limbal dermoid is a choristoma, not a teratoma.

Teratoma qualifies as a rare disease, but is not extremely rare. Sacrococcygeal teratoma alone is diagnosed at birth in one out of 40,000 humans. Given the current human population and birth rate, this equals five per day or 1800 per year. Add to that number sacrococcygeal teratomas diagnosed later in life, and teratomas in other locales, and the incidence approaches 10,000 new diagnoses of teratoma per year.

Research

In light of the ethical issues surrounding the source of human stem cells, teratomas are being looked at as an alternative source for research because they lack the potential to grow into functional human beings.

Terminology

As is true throughout oncology (the study of tumors, malignant and benign), the nomenclature for these tumors continually evolves on the basis of threads of consensus in the scientific literature regarding the tumors classification (which is based on shared embryologic origins, clinicopathologic characteristics, and so on). As science advances, more is understood about how one can differentiate tumors that formerly seemed alike. For example, the scientific knowledge of tumor markers, genomics, and proteomics regularly advances. In this environment, tumor names may slip over the years between synonymity, hyponymy and hypernymy, and deprecation. Some terms that have been synonymous with teratoma include dysembryoma, teratoblastoma, organoid tumor, and teratoid tumor.[56]

The words "teratoma" and "mature teratoma" both have been used to refer to a benign growth, while the word "teratoma" may also refer to "immature teratoma", a cancerous growth. Avoiding misunderstanding due to such polysemy is part of why tumor nomenclature changes over decades. The nomenclatural changes are voluntary, based on scientists agreeing or debating in the literature regarding what to call particular neoplastic entities (types of tumors).

The term "malignant teratoma" has sometimes been used as a synonym for nonseminomatous germ cell tumor.[57]

Other animals

Ovarian teratomas have been reported in mares,[58] mountain lions,[59][60] and in canines.[61] Teratomas also occur, rarely, in other species.[62]

References

  1. 1 2 3 4 Raja, Shahzad G. (2007). Access to Surgery: 500 single best answer questions in general and systematic pathology. PasTest Ltd. p. 508. ISBN 9781905635368. Archived from the original on 2020-07-30. Retrieved 2020-06-26.
  2. 1 2 3 4 5 6 7 "Sacrococcygeal Teratoma". NORD (National Organization for Rare Disorders). 2007. Archived from the original on 19 February 2017. Retrieved 20 December 2017.
  3. 1 2 Saba, Luca; Acharya, U. Rajendra; Guerriero, Stefano; Suri, Jasjit S. (2014). Ovarian Neoplasm Imaging. Springer Science & Business Media. p. 165. ISBN 9781461486336. Archived from the original on 2020-09-20. Retrieved 2020-06-26.
  4. 1 2 3 4 5 6 "NCI Dictionary of Cancer Terms". National Cancer Institute. 2011-02-02. Archived from the original on 2018-01-23. Retrieved 20 December 2017.
  5. 1 2 3 4 5 Davies, Mark; Inglis, Garry; Jardine, Luke; Koorts, Pieter (2012). Antenatal Consults: A Guide for Neonatologists and Paediatricians - E-Book. Elsevier Health Sciences. p. 298. ISBN 978-0729581080. Archived from the original on 2020-08-05. Retrieved 2020-06-26.
  6. 1 2 3 Price, Pat; Sikora, Karol; Illidge, Tim (2008). Treatment of Cancer Fifth Edition. CRC Press. p. 713. ISBN 9780340912218. Archived from the original on 2021-08-29. Retrieved 2020-06-26.
  7. 1 2 Corton, Marlene M; Leveno, Kenneth J; Bloom, Steven L; Hoffman, Barbara L (2014). Williams Obstetrics 24/E (EBOOK). McGraw Hill Professional. p. Chapter 16. ISBN 9780071798945. Archived from the original on 2020-07-30. Retrieved 2020-06-26.
  8. 1 2 "Mature teratoma". National Cancer Institute. 2011-02-02. Archived from the original on 2018-01-23. Retrieved 20 December 2017.
  9. Noor, Mohd Rushdan Md; Hseon, Tay Eng; Jeffrey, Low Jen Hui (2014). Gynaecologic Cancer: A Handbook for Students and Practitioners. CRC Press. p. 446. ISBN 9789814463065. Archived from the original on 2020-08-03. Retrieved 2020-06-26.
  10. 1 2 3 Falcone, Tommaso; Hurd, William W. (2007). Clinical Reproductive Medicine and Surgery. Elsevier Health Sciences. p. 749. ISBN 978-0323033091. Archived from the original on 2020-07-04. Retrieved 2020-06-26.
  11. Oyasu, Ryoichi; Yang, Ximing J; Yoshida, Osamu (2009). Questions in Daily Urologic Practice: Updates for Urologists and Diagnostic Pathologists. Springer Science & Business Media. p. 253. ISBN 9784431728191. Archived from the original on 2020-09-22. Retrieved 2020-06-26.
  12. Hillard, Paula J Adams; Hillard, Paula Adams (2008). The 5-minute Obstetrics and Gynecology Consult. Lippincott Williams & Wilkins. p. 140. ISBN 9780781769426. Archived from the original on 2020-08-03. Retrieved 2020-06-26.
  13. Hart, I; Newton, RW (2012). Endocrinology. Springer Science & Business Media. p. 157. ISBN 9789401092982. Archived from the original on 2020-07-06. Retrieved 2020-06-26.
  14. McDougal, W Scott; Wein, Alan J; Kavoussi, Louis R; Novick, Andrew C; Partin, Alan W; Peters, Craig A.; Ramchandani, Parvati (2011). Campbell-Walsh Urology 10th Edition Review E-Book. Elsevier Health Sciences. p. 663. ISBN 978-1455723171. Archived from the original on 2020-08-05. Retrieved 2020-06-26.
  15. Chang, Alfred E; Ganz, Patricia A; Hayes, Daniel F; Kinsella, Timothy; Pass, Harvey I; Schiller, Joan H; Stone, Richard M; Strecher, Victor (2007). Oncology: An Evidence-Based Approach. Springer Science & Business Media. p. 848. ISBN 9780387310565. Archived from the original on 2020-07-30. Retrieved 2020-06-26.
  16. Mandal, Shramana; Badhe, Bhawana A. (2012). "Malignant Transformation in a Mature Teratoma with Metastatic Deposits in the Omentum: A Case Report". Case Reports in Pathology. 2012: 1–3. doi:10.1155/2012/568062. ISSN 2090-6781. PMC 3469088. PMID 23082264.
  17. 1 2 Heskett, Michael B.; Sanborn, John Z.; Boniface, Christopher; Goode, Benjamin; Chapman, Jocelyn; Garg, Karuna; Rabban, Joseph T.; Zaloudek, Charles; Benz, Stephen C.; Spellman, Paul T.; Solomon, David A. (2020-01-07). "Multiregion exome sequencing of ovarian immature teratomas reveals 2N near-diploid genomes, paucity of somatic mutations, and extensive allelic imbalances shared across mature, immature, and disseminated components". Modern Pathology. 33 (6): 1193–1206. doi:10.1038/s41379-019-0446-y. ISSN 0893-3952. PMC 7286805. PMID 31911616.
  18. 1 2 3 4 Gonzalez-Crussi F (1982) Extragonadal Teratomas. Atlas of Tumor Pathology, Second Series, Fascicle 18. Armed Forces Institute of Pathology, Washington D.C.
  19. Abbott TM, Hermann WJ, Scully RE (1984). "Ovarian fetiform teratoma (homunculus) in a 9-year-old girl". International Journal of Gynecological Pathology. 2 (4): 392–402. doi:10.1097/00004347-198404000-00007. PMID 6724790.
  20. Saito K, Katsumata Y, Hirabuki T, Kato K, Yamanaka M (2007). "Fetus-in-fetu: parasite or neoplasm? A study of two cases". Fetal Diagn. Ther. 22 (5): 383–88. doi:10.1159/000103301. PMID 17556829. S2CID 57099054.
  21. Kajbafzadeh AM, Baharnoori M (2006). "Fetus in fetu". Can J Urol. 13 (5): 3277–78. PMID 17076951.
  22. Chua JH, Chui CH, Sai Prasad TR, Jabcobsen AS, Meenakshi A, Hwang WS (2005). "Fetus-in-fetu in the pelvis: report of a case and literature review" (PDF). Ann. Acad. Med. Singap. 34 (10): 646–49. PMID 16382253. Archived (PDF) from the original on 2008-09-10. Retrieved 2008-07-22.
  23. Lee, YH; Kim, SG; Choi, SH; Kim, IS; Kim, SH (December 2003). "Ovarian mature cystic teratoma containing homunculus: A case report" (PDF). Journal of Korean Medical Science. 18 (6): 905–907. doi:10.3346/jkms.2003.18.6.905. PMC 3055135. PMID 14676454. Archived from the original (PDF) on 2011-07-22.
  24. Kazez A, Ozercan IH, Erol FS, Faik Ozveren M, Parmaksiz E (2002). "Sacrococcygeal heart: a very rare differentiation in teratoma". European Journal of Pediatric Surgery. 12 (4): 278–80. doi:10.1055/s-2002-34483. PMID 12369008.
  25. Danzer E, Hubbard AM, Hedrick HL, et al. (2006). "Diagnosis and characterization of fetal sacrococcygeal teratoma with prenatal MRI". AJR Am J Roentgenol. 187 (4): W350–6. doi:10.2214/AJR.05.0152. PMID 16985105.
  26. Kocaoglu M, Frush DP (2006). "Pediatric presacral masses". Radiographics. 26 (3): 833–57. doi:10.1148/rg.263055102. PMID 16702458.
  27. Makuch, M; Wilson, R; Al-Diwani, A; Varley, J; Kienzler, AK; Taylor, J; Berretta, A; Fowler, D; Lennox, B; Leite, MI; Waters, P; Irani, SR (March 2018). "N-methyl-D-aspartate receptor antibody production from germinal center reactions: Therapeutic implications". Annals of Neurology. 83 (3): 553–561. doi:10.1002/ana.25173. PMC 5925521. PMID 29406578.
  28. Choi, KW; Jeon, WJ; Chae, HB; Park, SM; Youn, SJ; Shin, HM; Sung, RH; Lee, SJ (September 2003). "A recurred case of a mature ovarian teratoma presenting as a rectal mass" (PDF). The Korean Journal of Gastroenterology (in Korean). 42 (3): 242–245. PMID 14532748. Archived (PDF) from the original on 2019-04-20. Retrieved 2012-01-16.{{cite journal}}: CS1 maint: unrecognized language (link)
  29. Masayuki, Shintaku (January 2, 2017). "Well-formed cerebellum and brainstem-like structures in a mature ovarian teratoma: Neuropathological observations". Neuropathology. 37 (2): 122–128. doi:10.1111/neup.12360. PMID 28042664.
  30. Chi JG, Lee YS, Park YS, Chang KY (July 1984). "Fetus-in-fetu: report of a case". American Journal of Clinical Pathology. 82 (1): 115–19. doi:10.1093/ajcp/82.1.115. PMID 6540049.
  31. Sergi C, Ehemann V, Beedgen B, Linderkamp O, Otto HF (1999). "Huge fetal sacrococcygeal teratoma with a completely formed eye and intratumoral DNA ploidy heterogeneity". Pediatric and Developmental Pathology. 2 (1): 50–57. doi:10.1007/s100249900089. PMID 9841706. S2CID 22847474.
  32. Arlikar JD, Mane SB, Dhende NP, Sanghavi Y, Valand AG, Butale PR (March 2009). "Fetus in fetu: two case reports and review of literature". Pediatric Surgery International. 25 (3): 289–92. doi:10.1007/s00383-009-2328-8. PMID 19184054. S2CID 11210782.
  33. Dalmau J, Lancaster E, Martinez-Hernandez E, Rosenfeld MR, Balice-Gordon R (January 2011). "Clinical experience and laboratory investigations in patients with anti-NMDAR encephalitis". Lancet Neurol. 10 (1): 63–74. doi:10.1016/S1474-4422(10)70253-2. PMC 3158385. PMID 21163445.
  34. 1 2 Harms D, Zahn S, Göbel U, Schneider DT (2006). "Pathology and molecular biology of teratomas in childhood and adolescence". Klinische Pädiatrie. 218 (6): 296–302. doi:10.1055/s-2006-942271. PMID 17080330.
  35. Scavuzzo, Anna; Santana Ríos, Zael Arturo; Noverón, Nancy Reynoso; Jimenez Ríos, Miguel Angel (2014). "Growing Teratoma Syndrome". Case Reports in Urology. 2014: 139425. doi:10.1155/2014/139425. ISSN 2090-696X. PMC 4150507. PMID 25197607.
  36. Ohno Y, Kanematsu T (1998). "An endodermal sinus tumor arising from a mature cystic teratoma in the retroperitoneum in a child: is a mature teratoma a premalignant condition?". Hum. Pathol. 29 (10): 1167–69. doi:10.1016/S0046-8177(98)90432-4. PMID 9781660.
  37. Utsuki S, Oka H, Sagiuchi T, Shimizu S, Suzuki S, Fujii K (Jun 2007). "Malignant transformation of intracranial mature teratoma to yolk sac tumor after late relapse. Case report". J. Neurosurg. 106 (6): 1067–69. doi:10.3171/jns.2007.106.6.1067. PMID 17564180. S2CID 23864999.
  38. Chen YH, Chang CH, Chen KC, Diau GY, Loh IW, Chu CC (2007). "Malignant transformation of a well-organized sacrococcygeal fetiform teratoma in a newborn male". J. Formos. Med. Assoc. 106 (5): 400–02. doi:10.1016/S0929-6646(09)60326-0. PMID 17561476.
  39. Hopkins KL, Dickson PK, Ball TI, Ricketts RR, O'Shea PA, Abramowsky CR (1997). "Fetus-in-fetu with malignant recurrence". J. Pediatr. Surg. 32 (10): 1476–79. doi:10.1016/S0022-3468(97)90567-4. PMID 9349774.
  40. Arioz DT, Tokyol C, Sahin FK, et al. (2008). "Squamous cell carcinoma arising in a mature cystic teratoma of the ovary in young patient with elevated carbohydrate antigen 19-9". Eur. J. Gynaecol. Oncol. 29 (3): 282–84. PMID 18592797.
  41. Muscatello L, Giudice M, Feltri M (2005). "Malignant cervical teratoma: report of a case in a newborn". European Archives of Oto-Rhino-Laryngology. 262 (11): 899–904. doi:10.1007/s00405-005-0917-2. PMID 15895292. S2CID 11556991.
  42. Ukiyama E, Endo M, Yoshida F, Tezuka T, Kudo K, Sato S, Akatsuka S, Hata J (2005). "Recurrent yolk sac tumor following resection of a neonatal immature gastric teratoma". Pediatr. Surg. Int. 21 (7): 585–88. doi:10.1007/s00383-005-1404-y. PMID 15928937. S2CID 40147917.
  43. Bilik R, Shandling B, Pope M, Thorner P, Weitzman S, Ein SH (1993). "Malignant benign neonatal sacrococcygeal teratoma". J. Pediatr. Surg. 28 (9): 1158–60. doi:10.1016/0022-3468(93)90154-D. PMID 7508500.
  44. Hawkins E, Issacs H, Cushing B, Rogers P (1993). "Occult malignancy in neonatal sacrococcygeal teratomas. A report from a Combined Pediatric Oncology Group and Children's Cancer Group study". The American Journal of Pediatric Hematology/Oncology. 15 (4): 406–09. PMID 7692755.
  45. Ramalingam P, Teague D, Reid-Nicholson M (Jul 2008). "Imprint cytology of high-grade immature ovarian teratoma: A case report, literature review, and distinction from other ovarian small round cell tumors". Diagn. Cytopathol. 36 (8): 595–99. doi:10.1002/dc.20849. PMID 18618728.
  46. Biskup W, Calaminus G, Schneider DT, Leuschner I, Göbel U (2006). "Teratoma with malignant transformation: experiences of the cooperative GPOH protocols MAKEI 83/86/89/96". Klinische Pädiatrie. 218 (6): 303–08. doi:10.1055/s-2006-942272. PMID 17080331.
  47. Aktuğ T, Hakgüder G, Sarioğlu S, Akgür FM, Olguner M, Pabuçcuoğlu U (2000). "Sacrococcygeal extraspinal ependymomas: the role of coccygectomy". J. Pediatr. Surg. 35 (3): 515–18. doi:10.1016/S0022-3468(00)90228-8. PMID 10726703.
  48. Tapper D, Lack EE (1983). "Teratomas in infancy and childhood. A 54-year experience at the Children's Hospital Medical Center". Ann. Surg. 198 (3): 398–410. doi:10.1097/00000658-198309000-00016. PMC 1353316. PMID 6684416.
  49. Göbel, U; Schneider, DT; Calaminus, G; Haas, RJ; Schmidt, P; Harms, D (March 2000). "Germ-cell tumors in childhood and adolescence" (PDF). Annals of Oncology. 11 (3): 263–271. doi:10.1023/a:1008360523160. PMID 10811491. Archived (PDF) from the original on 2015-11-06. Retrieved 2012-01-16.
  50. Mann JR, Gray ES, Thornton C, Raafat F, Robinson K, Collins GS, Gornall P, Huddart SN, Hale JP, Oakhill A (July 2008). "Mature and immature extracranial teratomas in children: the UK Children's Cancer Study Group Experience". Journal of Clinical Oncology. 26 (21): 3590–97. doi:10.1200/JCO.2008.16.0622. PMID 18541896.
  51. Lo Curto M, D'Angelo P, Cecchetto G, Klersy C, Dall'Igna P, Federico A, Siracusa F, Alaggio R, Bernini G, Conte M, De Laurentis T, Di Cataldo A, Inserra A, Santoro N, Tamaro P, Indolfi P (April 2007). "Mature and immature teratomas: results of the first paediatric Italian study". Pediatric Surgery International. 23 (4): 315–22. doi:10.1007/s00383-007-1890-1. PMID 17333214. S2CID 1380993.
  52. Marina NM, Cushing B, Giller R, Cohen L, Lauer SJ, Ablin A, Weetman R, Cullen J, Rogers P, Vinocur C, Stolar C, Rescorla F, Hawkins E, Heifetz S, Rao PV, Krailo M, Castleberry RP (1999). "Complete surgical excision is effective treatment for children with immature teratomas with or without malignant elements: A Pediatric Oncology Group/Children's Cancer Group Intergroup Study". J. Clin. Oncol. 17 (7): 2137–43. doi:10.1200/JCO.1999.17.7.2137. PMID 10561269.
  53. Cushing B, Giller R, Ablin A, Cohen L, Cullen J, Hawkins E, Heifetz SA, Krailo M, Lauer SJ, Marina N, Rao PV, Rescorla F, Vinocur CD, Weetman RM, Castleberry RP (1999). "Surgical resection alone is effective treatment for ovarian immature teratoma in children and adolescents: a report of the pediatric oncology group and the children's cancer group". Am. J. Obstet. Gynecol. 181 (2): 353–58. doi:10.1016/S0002-9378(99)70561-2. PMID 10454682.
  54. - Vaidya, SA; Kc, S; Sharma, P; Vaidya, S (2014). "Spectrum of ovarian tumors in a referral hospital in Nepal". Journal of Pathology of Nepal. 4 (7): 539–543. doi:10.3126/jpn.v4i7.10295. ISSN 2091-0908.
    - Minor adjustment for mature cystic teratomas (0.17 to 2% risk of ovarian cancer): Mandal, Shramana; Badhe, Bhawana A. (2012). "Malignant Transformation in a Mature Teratoma with Metastatic Deposits in the Omentum: A Case Report". Case Reports in Pathology. 2012: 1–3. doi:10.1155/2012/568062. ISSN 2090-6781. PMC 3469088. PMID 23082264.
  55. Orbital dermoid cyst at eMedicine
  56. Elsevier, Dorlands Illustrated Medical Dictionary, Elsevier, archived from the original on 2014-01-11, retrieved 2014-08-13.
  57. Harding MJ, Paul J, Gillis CR, Kaye SB (April 1993). "Management of malignant teratoma: does referral to a specialist unit matter?". Lancet. 341 (8851): 999–1002. doi:10.1016/0140-6736(93)91082-W. PMID 8096954. S2CID 29536953.
  58. Catone G, Marino G, Mancuso R, Zanghì A (April 2004). "Clinicopathological features of an equine ovarian teratoma". Reprod. Domest. Anim. 39 (2): 65–69. doi:10.1111/j.1439-0531.2003.00476.x. PMID 15065985.
  59. Artemis Moshtaghian (January 11, 2016). "Deformed Mountain Lion a mystery". CNN. Cable News Network. Archived from the original on December 23, 2017.
  60. Lefebvre R, Theoret C, Doré M, Girard C, Laverty S, Vaillancourt D (November 2005). "Ovarian teratoma and endometritis in a mare". Can. Vet. J. 46 (11): 1029–33. PMC 1259148. PMID 16363331.
  61. E. GRUYSJ, E. VAN DIJK, T.A.M. ELSINGHORST, INGRID VAN DER GAAG (1976). "Four Canine Ovarian Teratomas and a Nonovarian Feline Teratoma". Institute of Veterinary Pathology, Utrecht University. 13 (6): 455–459. doi:10.1177/030098587601300609. PMID 1006958. S2CID 46250641.{{cite journal}}: CS1 maint: multiple names: authors list (link)
  62. López RM, Múrcia DB (Aug 2008). "First description of malignant retrobulbar and intracranial teratoma in a lesser kestrel (Falco naumanni)". Avian Pathol. 37 (4): 413–14. doi:10.1080/03079450802216660. PMID 18622858. S2CID 748134.

 This article incorporates public domain material from the U.S. National Cancer Institute document: "Dictionary of Cancer Terms".

Classification
External resources
This article is issued from Wmcloud. The text is licensed under Creative Commons - Attribution - Sharealike. Additional terms may apply for the media files.